Search Dental Tribune

Náhrada zubu v jediné návštěvě: technika One-Tooth One-Time

Okamžitý CAD návrh finální korunky na WB Variobase (fotografie: Louwrens Swart a Paul van Zyl)
Louwrens Swart a Paul van Zyl, JAR

Louwrens Swart a Paul van Zyl, JAR

Út. 1 prosince 2020

uložit

Imediátní zavedení implantátu a jeho zatížení zubní náhradou v bezzubé čelisti je již uznávanou léčebnou metodou v zubních praxích po celém světě. Optimalizace délky ošetření je lákavá možnost jak pro implantologa, tak pro pacienta – byly tedy vyvinuty jednofázové chirurgické postupy a nové protokoly zatížení.

Design implantátu, materiál fixtury a povrchová struktura jsou důležitými faktory, které mohou ovlivnit primární stabilitu. Všechny tyto faktory, včetně anatomie pacienta a kvality jeho kosti musí být u léčby s imediátním zatížením pečlivě zváženy. Skenovací a frézovací techniky otevřely v implantologii nové obzory a umožnily udělat obrovský krok vpřed v protetické rehabilitaci kotvené implantáty. Digitální pracovní postupy jsou používány čím dál více, obzvláště pak u jednočlenných náhrad a umožňují přímé a nákladově efektivní postupy zvyšující spokojenost pacienta. One-Tooth One-Time je technika, která byla vyvinuta tak, aby bylo možno předvídatelně zavést implantát do molárové oblasti mandibuly a následně jej již za několik hodin po chirurgické fázi zatížit definitivní protetikou pomocí nového systému Straumann BLX a digitálních pracovních postupů.

Výchozí situace

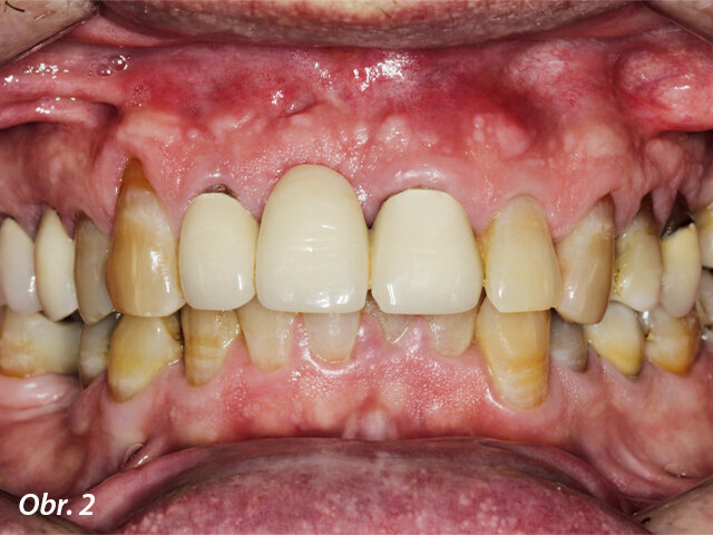
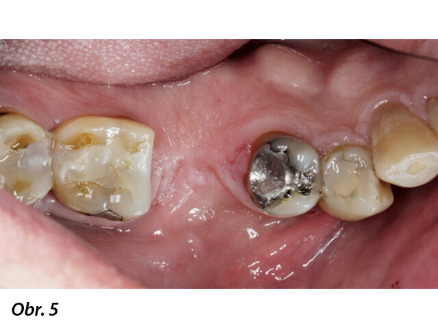
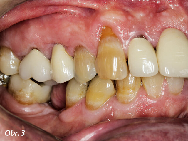
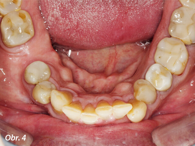
Pacient se dostavil do ordinace s chybějícím dolním prvním molárem (obr. 1–4). Jeho hlavní stížností byla bolest na této straně kvůli tlaku na gingivální tkáň (obr. 5). Kvůli tomu začal žvýkat přednostně na druhé straně a přál si nápravu defektu v co nejkratším možném termínu. Vzhledem k tomu, že se pacient dostavil s vyváženou okluzí a chybějící zub byl jediným defektem, bylo možno pacientovi navrhnout techniku One-Tooth One-Time.

Plánování léčby

Před výkonem byl proveden CBCT snímek, který ukázal přítomnost 13 mm vertikální kosti mezi dolním alveolárním nervem a horním okrajem kortikalis mandibuly a také minimální kostní tloušťku 6 mm. Implantát zvolený pro tento chirurgický postup byl Straumann BLX ø 5,5 × 10,0 mm. Dále bylo v plánu intraorální skenování a výroba hybridní keramické korunky osazené na Straumann WB Variobase abutment a dotažené na 35 Ncm.

Chirurgický postup

Byl odklopen lalok pro odhalení alveolární kosti (obr. 6, 7). Ideální pozice implantátu byla určena pečlivým klinickým vyhodnocením nejlepší 3D pozice. Následně byla preparována pilotní štola (2 mm) k určení kostní denzity (obr. 8). Dále byl zaveden paralelizační pin k potvrzení ideální 3D pozice a preparační hloubky (obr. 9, 10). Šířka osteotomie byla určena klinickým zhodnocením kostní denzity a následováním doporučených preparačních postupů (obr. 11–13).

 

Zaujala vás ukázka článku?

Celý článek můžete prostudovat v příslušném vydání časopisu Implants CZ/SK 1/2020
stáhněte jej ve formátu PDF

 

Redakční poznámka: Článek byl publikován v mezinárodním vydání časopisu implants – international magazine of oral implantology, Vol. 20, Issue 3/2019.

 

Dr. Louwrens Swart získal titul BChD na Stellenbosch University v Jihoafrické republice v roce 1986 a titul MChD v maxilofaciální a orální chirurgii tamtéž v roce 1994. Jeho výzkum se soustředí na chirurgii implantátů a sedaci při vědomí. Je zvoleným prezidentem Southern African Association of Osseointegration. Působí v soukromé praxi v Kapském Městě v Jihoafrické republice.

 

Dr. Paul van Zyl promoval v roce 1984 jako zubní lékař na Stellenbosch University (Jihoafrická republika). Následně se specializoval na protetiku a v roce 1992 pak získal titul MChD. Také působí v soukromé ordinaci v Kapském Městě. Navíc předsedá Southern Africa Section of the International Team for Implantology.

Štítky:
To post a reply please login or register
advertisement
advertisement