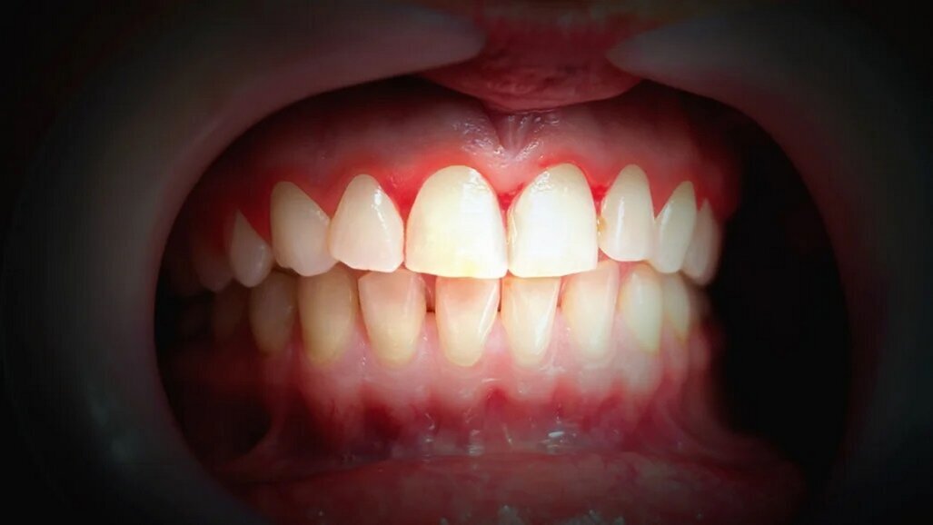
Nový výzkum ukazuje, že lokalizovaný zánět dásní může vyvolat změny v ústním mikrobiomu a může vést k imunitním reakcím ve vzdálených zdravých částech úst. Načasování a intenzita těchto reakcí se navíc může u jednotlivých osob lišit.
Nová studie vědců z Washingtonské univerzity, Rutgersovy univerzity, Univerzity krále Abdulazíze a oddělení výzkumu ústního zdraví Colgate Palmolive Company nese název „Localised microbially induced inflammation influences distant healthy tissues in the human oral cavity“ (Lokalizovaný mikrobiálně vyvolaný zánět ovlivňuje vzdálené zdravé tkáně v ústní dutině člověka). Zpráva byla zveřejněna v časopisu Proceedings of the National Academy of Sciences.
Stávající výzkumy ukazují, že lidé mohou vykazovat různé imunitní reakce na bakteriální a virové patogeny. V ústech byly podobně pozorovány rozdílné imunitní reakce na mikrobiální invazi. V této studii se vědci snažili pozorovat a popsat kontrasty v mikrobiálním zánětu dásní vyvolaném u zkoumaných osob.
Výzkumu se zúčastnilo 21 dospělých osob ve věku 18 až 35 let v dobrém zdravotním stavu. Čtrnáct dní před zahájením experimentální fáze podstoupil každý dobrovolník profesionální čištění zubů, aby byl zajištěn normální stav ústní dutiny.
Protože se jednalo o studii typu split-mouth, obdržel každý subjekt o dva týdny později (v den studie 0) individuální akrylový intraorální stent, který pokryl náhodně přiřazené testovací místo tří zubů na horní čelisti, a to buď č. 3, 4, 5 (16, 15, 14) nebo č. 12, 13, 14 (24, 25, 26). Tři zuby umístěné kontralaterálně ke každému testovacímu místu byly považovány za kontrolní místo.
Po dobu následujících 21 dnů testované osoby zakrývaly testovací místa svými stenty, zatímco dodržovaly pravidelnou ústní hygienu a čistily si ostatní zuby zubní pastou obsahující fluorid. Během tohoto třítýdenního období výzkumníci vyvolali zánět dásní, přičemž odebírali vzorky dásní ve dnech 0, 4, 7, 14 a 21 a zaznamenávali časové údaje o množství a druhu bakterií v dutině ústní a krvácení při sondáži pozorované u každého dobrovolníka.
V průběhu studie se na zdravých kontrolních místech (na kterých dobrovolníci dodržovali pravidelnou ústní hygienu) objevily podobné ukazatele zánětu dásní jako na testovaných místech, které se však rozvíjely v menší míře a pomaleji.
Zajímavé je, že na základě bakteriálních reakcí testovaných osob byli výzkumníci schopni každou z nich zařadit do jednoho ze tří typů zánětlivých reakcí (IRT): s vysokým IRT, nízkým IRT nebo pomalým IRT. Osoby s vysokým IRT a pomalým IRT vykazovaly větší zranitelnost vůči silnému zánětu než osoby s nízkým IRT, přičemž u osob s pomalým IRT byla doba vývoje bakteriální zátěže delší. Skupiny IRT neodrážely výrazné rozdíly v pohlaví a věku.
Tyto výsledky jsou důležité, protože doplňují dosavadní poznatky o tom, jak může zánět v lokalizované oblasti nakonec ovlivnit zdravé tkáně ve vzdálené oblasti a případně vést k infekci. Navíc i přes dodržování ústní hygieny se u každého subjektu studie vyvinula různá úroveň zánětu v ústní dutině v různé míře podle jeho specifického typu zánětlivé reakce.
Zásadní je, že není jasné, co určuje typ zánětlivé reakce jednotlivce. To naznačuje, že i když je udržování ústní hygieny prostřednictvím každodenního čištění zubů kartáčkem a zubní nití nezbytné, je to pouze jedna ze složek komplexního systému orálního zdraví. Pravidelné návštěvy pracoviště dentální hygieny a zubní prohlídky jsou stále nezbytné k odhalení případných vzdálených zánětů.
Každoročně 20. března si globální stomatologická komunita připomíná Světový den ústního zdraví (World Oral Health Day, WOHD) s cílem ...
V mnoha oblastech světa nárůst počtu obyvatel předstihl dostupnost lékařů, což prodlužuje čekací doby a klade větší nároky na již ...
Zdraví dásní do značné míry závisí na rovnováze ústního mikrobiomu. Ve svém článku publikovaném v British Dental Journal Kilian et al. ...
Dr. Alex Solderer vystudoval specializační program v oboru parodontologie na univerzitě v Curychu ve Švýcarsku a ve své každodenní práci se ...
Většina z nás ví, že správné čištění zubů zubní pastou s obsahem fluoridu je prvním krokem k trvale zdravým zubům a dásním. Přesto však ...
AURORA, Colorado, USA: Vzhledem k tomu, že rakovina dutiny ústní bývá často odhalena až v pozdním stadiu svého vývoje, pacienti s touto rozvinutou...
Infekce v dutině ústní související s biofilmem, např. zubní kaz a parodontóza, patří stále k nejčastějším zdravotním problémům. V ...
L’AQUILA, Itálie: Vědci z univerzity v italské L’Aquile upozorňují ve své nové studii na význam zdravé ústní dutiny ve vztahu k léčbě ...
Ing. Bc. Jana Krajčíková se od začátku své praxe dentální hygienistky věnuje neslyšícím pacientům. Naučila se znakový jazyk, vyrobila ...
BRUSEL, Belgie: Kouření může mít, jak známo, devastující účinky na celkové zdraví, včetně vážných škod na zdraví orálním, neboť ...
Živý webinář
Čt. 30 dubna 2026
1:00 (CET) Prague
Dr. Renato Leonardo D.M.D.
Živý webinář
Čt. 30 dubna 2026
7:00 (CET) Prague
Živý webinář
Ne. 3 května 2026
6:00 (CET) Prague
Dr. Rickard Brånemark MSc, MD, PhD, Dr. Robert Gottlander DDS
Živý webinář
Po. 4 května 2026
2:00 (CET) Prague
Živý webinář
Út. 5 května 2026
4:00 (CET) Prague
Živý webinář
Út. 5 května 2026
6:00 (CET) Prague
Živý webinář
Út. 5 května 2026
7:00 (CET) Prague
Dr. Maximilian Dobbertin M.Sc
To post a reply please login or register