Z rozsáhlého přehledu o problematice recidivy, který zahrnuje odborné studie za posledních 40 let (Bondemark et al., 2007), vyplývá, že veškerá debata na toto téma se soustřeďuje především na použitý systém retence a jeho efektivitu. Jednou z nejdiskutovanějších otázek v ortodoncii je fakt, zda jsou účinnější fixní nebo snímatelné retainery. To nevěstí nic dobrého o budoucnosti našeho oboru. Další výzkum musí být zaměřen především na příčiny recidivy a následně na její prevenci.
Co doopravdy víme o příčinách recidivy na základě současných znalostí?
Rozsáhlý souhrn literatury (Blake a Bibby 1998) rekapituluje faktory, které mohou mít vliv na stabilitu léčby. Jsou to:
změna tvaru zubního oblouku
parodont a gingiva
rozměry dolních řezáků
další růst
třetí moláry
neuromuskulární složka
Rozšířený je mylný názor, že ortognátní chirurgie je konečným řešením při léčbě skeletálně podmíněných malokluzí. Je tomu opravdu tak? Proffit et al. (2007) shromáždil na toto téma impozantní množství dat, zahrnující více než 100 výzkumů, celkem 2264 pacientů. Lze z nich vyvodit, že jako „stabilní“ je možné označit pouze posun maxily vpřed, ačkoli i při tomto zákroku můžeme až u 20 % pacientů očekávat „mírnou recidivu“ (která může být „potenciálně klinicky významná“). Studie dále popisují posuny horní čelisti směrem kaudálním a mandibulární setback jako “problematické“. Během jednoho roku u 66 % pacientů s kaudálním posunem horní čelisti můžeme diagnostikovat „klinicky významnou“ recidivu. U pacientů s posunem mandibuly vzad (set-back) byl výsledek obdobný, s recidivou až v 50 % léčených případů.
Není-li ani ortognátní chirurgie účinným prostředkem proti recidivě, který z výše zmíněných faktorů je tedy schopen tvarovat a remodelovat kost?
„Vždy, když funkce svalů není v rovnováze se skeletem, poddá se kost,“ píše Graber ve své klíčové práci z roku 1963 na téma vlivu svalů na malformace a malokluze.
Chang et al. (2006) v nedávné studii považuje sílu svalů za hlavní faktor způsobující recidivu po mandibulárním setbacku. Shapiro (2002) na téma léčby otevřeného skusu uvádí, že vysoce nestabilní výsledek této terapie, ať už s nebo bez chirurgického zákroku, je způsoben nejčastěji vlivem „nedostatečné adaptace jazyka“. Pepicelli et al. (2005) ve své studii o působení svalů dokládá, že poloha a funkce obličejových a mandibulárních svalů mají „zásadní vliv“ na uspořádání a stabilitu zubních oblouků. Řadí sem také dysfunkční polykání a nesprávnou pozici jazyka.
Vyzdvižení „svalové funkce“ ale automaticky neznamená preferenci funkčních aparátů a zavrhnutí aparátů fixních. Navzdory faktům většina tradičních obhájců fixních aparátů zcela ignoruje vliv svalstva, naopak zastánci funkčních aparátů neustále zdůrazňují vliv svalové funkce.
Překvapivě častým a naprosto mylným názorem rozšířeným mezi ortodontisty je, že funkční aparáty jsou obdobou myofunkčních aparátů. Ve skutečnosti jsou myofunkční aparáty pravým opakem těch funkčních, jak ve smyslu základních principů jejich kotvení, tak i mechanizmu působení.
Funkční aparáty pouze rozšiřují horní čelist a dolní čelist posunují vpřed, aniž by jakkoli upravovaly funkci měkkých tkání. Myofunkční aparáty jsou naopak přímo zaměřeny na odstranění svalové příčiny problému.
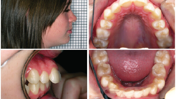
Prezentovaný případ je 14ti letá pacientka s předkusem a úzkými zubními oblouky se stěsnáním. Analýza svalové funkce odhalila kaudální pozici jazyka, která je zodpovědná za nedostatečnou šířku zubních oblouků, a “infantilní” typ polykání s výraznou činností labiomentálních svalů.
Po šesti měsících léčby myofunkčním aparátem a myofunkčních cviků se předkus podstatně zmenšil, zubní oblouky se rozšířily a stěsnání bylo odstraněno. Skeletální i dentální parametry se podstatně zlepšily. Překvapivě, jakmile se pacientce změnil infantilní typ polykání na fyziologický, ztratila se z profilu viditelná labiomentální rýha pod dolním rtem. Léčbou se vyřešila především svalová dysfunkce, proto je mnohem pravděpodobnější, že výsledek bude dlouhodobě stabilní (Pepicelli et al. 2005, Bench et al. 1978) (Obr. 1, 2).
Někoho může myofunkční koncepce terapie odrazovat, protože vyzbrojí praktického stomatologa všemi nástroji pro splnění veškerých požadavků ošetření. Jako každá pokroková věda, musí také ortodoncie odstranit dávné rozpory, zbavit se předsudků a přijmout změny.
Kombinace skeletálního efektu působení funkčních aparátů, posunů zubů fixními aparáty a řešení příčin malokluze pomocí myofunkčních aparátů a myofunkční terapie, může být konečnou odpovědí na otázku, jak se vyhnout recidivě.
Autoři:
Dr. Rohan Wijey
BOralH, Grad Dip Dent (Griffith)
Obrazovou dokumentaci k článku naleznete ve vydání DT č. 3/2011
MUDr. et Mgr. Milada Soldánová, Ph.D. je specialistkou v oboru ortodoncie, provozuje úspěšné praxe v Jindřichově Hradci i v Praze a externě ...
Estetika je budoucnost ortodoncie! Jako odborníci, kteří jsou experty na nápravu odchylek pozice zubů, se musíme naučit a pochopit, jak se naše role...
Houten, Nizozemsko: V posledních několika letech byl mezi zdravotnickým personálem zaznamenán výrazný ...
Anatomie a příroda nás denně stále učí. Ošetření kořenových kanálků, ačkoli se ...
Rok 2025 přináší do Prahy největší událost v oblasti stomatologie – jubilejní 30. ročník veletrhu PRAGODENT, který otevře své brány už ve ...
Svatým grálem pro jakoukoli organizaci provozující online marketing je zobrazovat se na první straně ve ...
Ženeva, Švýcarsko: Navzdory velkému výběru na trhu dostupných protetických materiálů je pro klinické lékaře stále obtížné vybrat nejlepší...
Dr. Raquel Zita Gomes, která provozuje soukromou ordinaci zaměřující se na implantologii a ústní chirurgii v portugalském Oporto, byla jednou z ...
Po tříletém přechodném období a 12měsíčním odkladu z důvodu pandemie SARS-CoV-2 nyní začala v Evropské unii platit nová nařízení pro ...
Po shlédnutí posledního webináře ČSK (k zhlédnutí na youtube zde) na téma prevence zubního kazu u dětí, v podání doc. MUDr. Merglové, CSc., ...
Živý webinář
Čt. 7 května 2026
8:30 (CET) Prague
Živý webinář
Po. 11 května 2026
6:00 (CET) Prague
Živý webinář
Po. 11 května 2026
7:00 (CET) Prague
Živý webinář
Út. 12 května 2026
7:00 (CET) Prague
Živý webinář
Čt. 14 května 2026
6:00 (CET) Prague
Živý webinář
Čt. 14 května 2026
8:00 (CET) Prague
Prof. Hani Ounsi DDS PhD FICD
Živý webinář
Út. 19 května 2026
5:00 (CET) Prague
To post a reply please login or register