Ortodontisté se neustále snaží o poskytování vysoce kvalitní péče a zohledňují požadavky pacienta na co nejkratší čas ošetření, aniž by byly ohroženy výsledky terapie. Od vynálezu prvního zubního laseru v roce 1960 pokročila laserová technologie mílovými kroky. Díky účinkům laserového záření na záněty, hojení ran, imunitní reakce, zubní tkáně a kompozitní materiály, se tato technologie postupně stává součástí ortodontické terapie.
Tento článek popisuje přínos ošetření laserovým zářením pro pacienty a rekapituluje možné indikace jeho použití. Lasery se snadno obsluhují, ale pro dosažení optimálních výsledků je důležité, jako u každé technologie, dodržet terapeutický protokol za použití správného nastavení. Každému, kdo by chtěl tuto technologii bezpečně a efektivně zavést do své praxe, doporučujeme proškolení v oblasti laserových technologií.
Zvládání bolesti
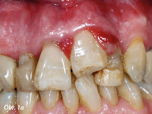
Ortodontický pohyb je výsledkem aplikace mechanické síly, která v periodonciu vede ke vzniku zón tahu a tlaku, což dává podnět k zánětlivé reakci. V návaznosti na to je kost resorbována na straně komprese a apozice probíhá v místě tahu. Bolest obvykle začíná 30 minut po aplikaci síly a většinou trvá 48 hodin. Pacienti často používají léky, analgetika či nesteroidní antiflogistika (NSAID), některé z těchto prostředků však mohou mít negativní vedlejší účinky na celý organismus.
Laserové záření tiší bolest a nemá žádné vedlejší účinky. Je aplikováno lokálně a bylo prokázáno, že k redukci bolesti dochází přímým účinkem na nervová vlákna a ovlivněním hladiny bolest indukujících enzymů, jako jsou například prostaglandiny (obr. 1).
Zrychlení pohybu zubů
Zrychlení pohybu zubů je pro ortodontisty důležité, protože delší doba ortodontické léčby zvyšuje pravděpodobnost výskytu nežádoucích účinků terapie, například poškození parodontu, dekalcifikace či resorpce kořenů, nemluvě o estetických důsledcích pro pacienta. Mezi léčebné metody, které byly v této souvislosti zkoumány, patří aplikace magnetického pole, mechanická stimulace pomocí vibrací a využití nízkoenergetického laseru.
O laserovém záření je známo, že potencuje zánětlivou reakci, proto můžeme očekávat rychlejší pohyb zubů. Bylo provedeno mnoho experimentálních studií a publikováno velké množství článků, které potvrzují závěry o zkrácení celkové doby terapie. Je však zapotřebí více multicentrických randomizovaných dvojitě slepých studií, abychom mohli toto tvrzení kvantifikovat.
Traumatická intruze, laser byl použit před ortodontickou extruzí kvůli možným bolestem.
Traumatická intruze, laser byl použit před ortodontickou extruzí kvůli možným bolestem.
Hyperplazie gingivy před ošetřením.
Gingivoplastika týden po operaci.
Gingivoplastika kvůli optimálnímu umístění zámku.
Gingivoplastika kvůli optimálnímu umístění zámku.
Sejmutí keramických zámků
Keramické zámky vyžadují při snímání použití větší síly, proto může dojít k poškození skloviny nebo k odlomení její části, a celý výkon pak trvá delší dobu. Laserová energie proniká skrz zámek a degraduje kompozitní pryskyřici, čímž snižuje množství síly potřebné k jeho sejmutí. Tento princip využíváme v naší praxi. Nejenže se zámky snadno snímají, některé dokonce odpadávají bez použití síly, ale i zbytky adheziva na zubech, které je třeba následně odstranit, jsou významně menší.
Byl zkoumán i princip laserového „leptání“ skloviny před lepením zámků, nicméně tento postup vyžadoval více ordinačního času a nebylo prokázáno, že by byl lepší než konvenční způsoby.
Gingivoplastika
Částečně prořezaný zub může často zpomalit průběh celé terapie. Recontouring dásní umožňuje správné umístění zámku a okamžité zahájení zařazování zubu ortodontickým aparátem. Nedostatečně prořezaný zub částečně krytý gingivou může být častěji postižen dekalcifikacemi, protože v průběhu terapie pacient není schopen vyčistit sklovinu v místě gingivální hyperplazie. Odvápnění v obtížně dostupných oblastech může ohrozit výsledky celé léčby. Po ukončení ortodontické terapie mohou být pro zlepšení estetiky laserem odstraněny zduřelé dásně, vždy však pouze v rámci biologických limitů (obr. 2–4).
Fenestrace parciálně prořezaných/retinovaných zubů
Retinovaný zub většinou znamená prodloužení terapie. V těchto případech musíme častokrát přistoupit k chirurgickému obnažení zubu, které přidává měsíce do celkové doby léčby.
Pomocí laseru může tento zákrok provést sám ortodontista a zároveň ve stejné návštěvě fixuje zámek. Laser zajistí hemostázu, je minimálně invazivní a málokdy je potřeba chirurgicky šít nebo aplikovat lokální anestetikum.
Zaujala vás ukázka článku?
Celý článek můžete prostudovat v příslušném vydání časopisu Ortho CZ/SK 1/2020
stáhněte jej ve formátu PDF
Štítky:
Protetická stomatitida (PS) je jednou z nejčastějších orálních lézí u pacientů, kteří ...
LUCEMBURK: Vysoký podíl praktických zubních lékařů nezajistil zemím EU rovnoměrnou dostupnost zubní péče. Nová data Eurostatu ukazují, že v ...
Nejdůležitějším cílem endodontického ošetření stále zůstává odstranění ...
Českou firmu Herbadent netřeba uvádět do povědomí: její produkty jsou po desetiletí oblíbené jak u dentálních odborníků, tak u jejich ...
Ve více než 100 zemích nabízí firma Produit Dentaires SA (PD) široké spektrum vysoce kvalitních produktů ...
Společnost Dentsply Sirona nedávno představila světu svůj nový brusný a frézovací přístroj – CEREC Primemill. Časopis Dental Tribune ...
V medicíně je široce přijímáno, že lékařské implantáty a zákroky je nutné v průběhu času revidovat. Například v ortopedické chirurgii se ...
Při práci s dentálními implantáty je nutno dodržovat celou řadu specifických pravidel týkajících se jak chirurgické fáze, tak fáze protetické...
V době, kdy byla zubním lékařům představena výpočetní tomografie využívající kuželovitý paprsek záření (Cone Beam CT, CBCT), vstoupila v ...
Pacient se ke mně dostavil s akutní bolestí v horním levém kvadrantu. U zubu 26 byla diagnostikována akutní apikální periodontitida a byl ošetřen...
Živý webinář
Po. 11 května 2026
6:00 (CET) Prague
Živý webinář
Po. 11 května 2026
7:00 (CET) Prague
Živý webinář
Út. 12 května 2026
7:00 (CET) Prague
Živý webinář
Čt. 14 května 2026
6:00 (CET) Prague
Živý webinář
Čt. 14 května 2026
8:00 (CET) Prague
Prof. Hani Ounsi DDS PhD FICD
Živý webinář
Út. 19 května 2026
5:00 (CET) Prague
Živý webinář
Út. 19 května 2026
7:00 (CET) Prague
Prof. Dr. med. dent. Ivo Krejci
To post a reply please login or register