Vysoká prevalence onemocnění souvisejících se zuby, narůstající geriatrická populace a rychle se rozšiřující povědomí o možnosti náhrady ztracených zubů implantáty nutí zubní lékaře a orální a maxilofaciální chirurgy, aby se vypořádávali s přísliby výrobců implantátů typu „nové zuby za hodinu“. Zatímco se výrobci implantátů snaží těmito marketingovými strategiemi maximalizovat své prodeje, vždy bude plně na odpovědnosti lékaře, aby pacienty ošetřoval pomocí protokolů založených striktně na důkazech, především pokud jde o okamžité funkční zatížení dentálních implantátů.
Esposito a kol. (2007), Javed a kol. (2010), Walker a kol. (2011) a Cannizzaro a kol. (2012) prokázali v přezkumech a Cochran v randomizovaných klinických studiích typu split-mouth, že primární stabilita implantátu – zastoupená hodnotami momentu při zavádění (TMZ) – ukazuje na významnou souvislost mezi biomechanickou kvalitou kosti a rizikem okamžitého a pozdějšího selhání implantátu, jsou-li implantáty funkčně zatíženy v době zavedení. Experimentální a klinické studie publikované Turkyilmazem a kol. (2007), Pommerem a kol. (2014) a Wadaem a kol. (2016) navíc prokázaly významnou souvislost mezi primární stabilitou implantátu změřenou prostřednictvím TMZ a výpočetní axiální tomografií (CT) na základě skenu z kostní denzitometrie u nativní alveolární kosti.
Vzhledem k tomu, že úbytek alveolární kosti způsobený přirozenou atrofií nebo destruktivními iatrogenními procesy v době extrakce zubu vyžaduje okamžité (zachování alveolárního hřebene) nebo pozdější (řízená regenerace kosti) procedury augmentace kosti, zjistili Di Lallo a kol. (2014) a Troedhan a kol. (2014) v randomizovaných klinických studiích, že je podstatný rozdíl v primární stabilitě implantátu, pokud jde o augmentovanou alveolární kost a nativní alveolární kost. Nedávno provedl Troedhan a kol. (2019) další randomizovanou klinickou studii, která zkoumala, zda by bylo možné dokázat významnou souvislost mezi prechirurgickou CBCT kostní denzitometrií provedenou pomocí X-MIND TRIUM CBCT (ACTEON) a primární stabilitou implantátu v augmentovaných oblastech maxilárního sinu.
Design studie
Randomizovaná klinická studie byla provedena u 128 pacientů. 101 pacientů s výškou subantrálního hřebene menší než 4 mm podstoupilo jednostranný nebo oboustranný transkrestální hydrodynamický sinus lift ultrazvukem Piezotome (INTRALIFT) se čtyřmi různými a náhodně přidělenými materiály kostních štěpů (mono- nebo bifázický tvarovatelný a samovolně tuhnoucí biomateriál, granulární syntetická a xenogenní kostní náhražka) v oblastech připravených přístrojem INTRALIFT. Piezochirurgický přístroj Piezotome INTRALIFT poskytuje při transkrestálním sinus liftu nejmenší riziko perforací membrány a bylo prokázáno, že čistě odděluje periost membrány sinu od kostního základu antra, čímž se již v chirurgické fázi zabrání zkreslení studie. Čisté oddělení periostu od kostního základu nenarušuje normální regeneraci kosti v subantrální bázi rozříznutím nebo laceracemi periostální vrstvy membrány sinu, která nese buněčnou vrstvu preosteoblastů.
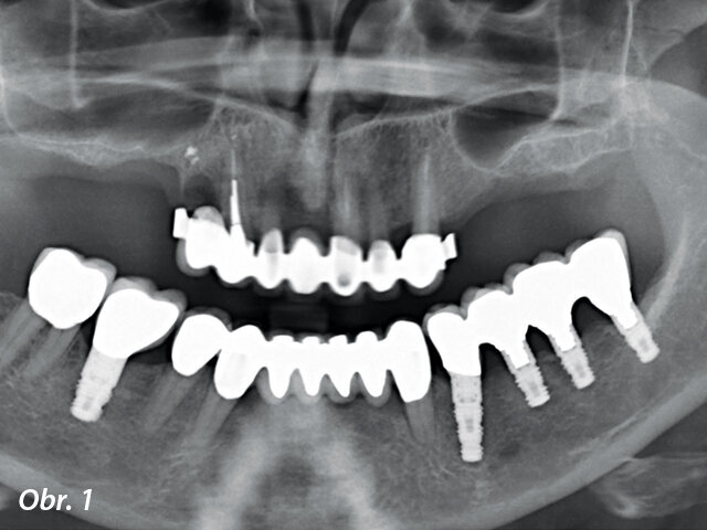
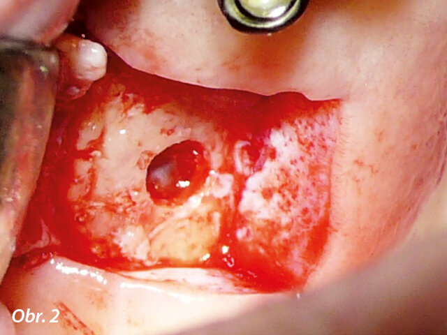
Obrázek 1 zachycuje "split-mouth" případ s oboustranným zákrokem přístrojem INTRALIFT: po oddělení malého krestálního laloku ve tvaru „knížečky“ o rozměru cca 7 × 7 mm bylo dno sinu bezpečně otevřeno pomocí ultrazvukových hrotů Piezotome (obr. 2, 3), membrána sinu oddělená vlivem hydrodynamického kavitačního účinku hrotu Piezotome TKW5 pak byla vtlačena do přístupového kanálu (obr. 4, 5), subantrální konstrukce byla vyplněna 2 cm náhodně přiřazeného biomateriálu a následně byla rána sešita.
Zaujala vás ukázka článku?
Celý článek můžete prostudovat v příslušném vydání časopisu Implants CZ/SK 1/2021
stáhněte jej ve formátu PDF
Úspěch implantologického ošetření ve velké míře závisí na objemu kosti a na podpoře měkkých tkání. Komplexní augmentační postupy kladou i...
Článek shrnuje osobní zkušenosti s kostní piezochirurgií po 15 letech používání v dentoalveolární chirurgii, implantologii a chirurgii ...
Článek shrnuje osobní zkušenosti s kostní piezochirurgií po 15 letech používání v ...
Periimplantátová mukositida a periimplantitida jsou bohužel relativně často se vyskytující biologické komplikace. Periimplantátovou mukositidu ...
Abstrakt: Cílem studie bylo vyhodnotit tříletý výsledek u nezanořených dentálních implantátů s bukálními periimplantátovými defekty ...
LONDÝN / MANCHESTER, VB: Od pleťových masek po hamburgerové bulky se ve všech druzích výrobků nachází nejnovější zdravotní trend – aktivní ...
Kapitola z monografie Dentální implantologie
KRIENS, Švýcarsko: Stomatologičtí odborníci hrají důležitou roli nejen pokud jde o zdraví dutiny ústní, ale i celkový stav pohody. To dodává ...
NIIGATA, Japonsko/PHILADELPHIA, USA: Je známo, že stárnutí zvyšuje náchylnost lidí k chronickým zánětlivým poruchám a úbytku kostní hmoty, ...
Kvalita kosti vztahující se k umístění implantátu
Živý webinář
Čt. 30 dubna 2026
1:00 (CET) Prague
Dr. Renato Leonardo D.M.D.
Živý webinář
Čt. 30 dubna 2026
7:00 (CET) Prague
Živý webinář
Ne. 3 května 2026
6:00 (CET) Prague
Dr. Rickard Brånemark MSc, MD, PhD, Dr. Robert Gottlander DDS
Živý webinář
Po. 4 května 2026
2:00 (CET) Prague
Živý webinář
Út. 5 května 2026
4:00 (CET) Prague
Živý webinář
Út. 5 května 2026
6:00 (CET) Prague
Živý webinář
Út. 5 května 2026
7:00 (CET) Prague
Dr. Maximilian Dobbertin M.Sc
To post a reply please login or register