Search Dental Tribune

Články

Filtr

Dentální mikroskop v běžné stomatologii

Stomatologický mikroskop je vynikající nástroj. Každý zubní lékař by měl zvážit ...

uložit

Překrytí gingiválních recesů se stalo předvídatelné díky použití resorbovatelných bariér

Gingivální recesus je definován jako umístění nebo přemístění marginální gingivy ...

uložit

Severští mistři stomatologie

HELSINKI, Finsko / LEIPZIG, Německo: Být sociálně odpovědnou firmou s jasnou vizí je jedna věc. Být více než 40 let ...

uložit

Přechod analogového dentálního světa na svět digitální – úspěšný příběh 3Shape pokračuje

U příležitosti Scandefa, hlavního dentálního veletrhu ve Skandinávii, nedávno DTI navštívil ...

uložit

Přechod analogového dentálního světa na svět digitální – úspěšný příběh 3Shape pokračuje

U příležitosti Scandefa, hlavního dentálního veletrhu ve skandinávii, nedávno DTI navštívil ...

uložit

Přechod analogového dentálního světa na svět digitální – úspěšný příběh 3Shape pokračuje

U příležitosti Scandefa, hlavního dentálního veletrhu ve Skandinávii, nedávno DTI navštívil ...

uložit
advertisement

Jak plná je objednací kniha vaší dentální hygienistky?

Sheila Scott nabízí osm pohotových způsobů, jak transformovat objednací knihu vašich/vaší ...

uložit

Jak dosáhnout lepší každodenní péče o mezizubní prostory

Pohled Clare Southard na použití mezizubních kartáčků v každodenní péči pacientů o dutinu ústní ...

uložit

Diagnóza a zvládnutí hypersenzitivity dentinu

Cílem tohoto článku je doplnit stomatologickým odborníkům informace o tomto nepříjemném klinickém stavu,...

uložit

Začiatky Dentálnej hygieny na Slovensku – 20 rokov od vzniku prvej myšlienky

Dovoľte mi, pri príležitosti jubilejného 20. výročia vzniku prvej myšlienky o profesii dentálna hygienička na ...

uložit

Endodonticko – implantologický algoritmus

Na klinickém případu vám ukážeme překvapivý význam endodontistů při plánování ...

uložit

Praktické klinické faktory v reendodontické terapii

Nechirurgické reendodontické o-šetření kanálků (NROK), jejichž původní léčba selhala, je ...

uložit
advertisement

Desinfekce a dekontaminace: Dental Tribune pohlíží na úkol dekontaminace a kontroly přenosu infekce

Jedním z nejdůležitějších témat k diskusi na loňském Showcase byl úkol dekontaminace a přenosu infekce. Po ...

uložit

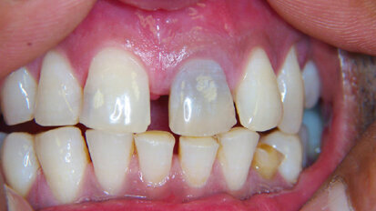
Vnitřní bělení horního levého velkého řezáku: Jacob Krikor se podělil o své zkušenosti s bělením zubů – řezáků

„Je velice důležité informovat pacienta o tom, že výsledek bělení není zcela předvídatelný, a že ...

uložit

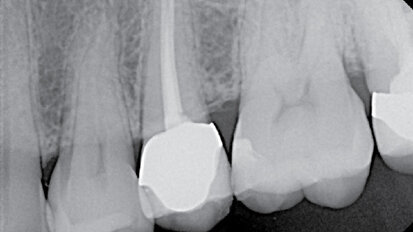
Výměna defektní distální výplně

21letý pacient si stěžoval na zvýšenou citlivost a mírnou bolest při žvýkání na zubu 36.  

uložit

Vědci varují: zubní rentgeny zvyšují riziko vzniku rakoviny

Zubní rentgeny mohou dle vědců podle nové studie zvyšovat riziko vzniku rakoviny štítné žlázy. ...

uložit
advertisement

IDS 2011 dostává zubní ordinace a laboratoře do „rychlého pruhu“

34. ročníku IDS (mezinárodní dentální veletrh) se zúčastnilo celkem 1956 dodavatelů z 58 zemí, ...

uložit

Dětské pasty s nízkým obsahem fluoridů selhávají s bojem proti zubnímu kazu

Nedávné studie ukázaly, že dětské zubní pasty, které obsahují nízké koncentrace fluoridů, ...

uložit

Nové důkazy spojují rtuť s Alzheimerovou chorobou

Lipsko, Německo: Stomatologičtí pacienti se stříbrnými výplněmi pravděpodobně častěji trpí stařeckou ...

uložit

Techniky preparace na korunku za použití dentálního operačního mikroskopu

Úspěšná preparace na korunku začíná diagnostikou. Včasná detekce potřeby celoplášťové ...

uložit
advertisement

Doposud největší IDS

115.000 návštěvníků ze 148 zemí, 1.956 vystavovatelů z 58 zemí – 145.000 m² výstavní ...

uložit

Atraumatické extrakce s Luxator Periotome

Extrakce zubu je bezesporu jedním z nejvíce traumatizujících zákroků, které může pacient  v zubní ...

uložit
advertisement

Klinické použití Er,Cr:YSGG laseru při endodontickém ošetření

Nejdůležitějším cílem endodontického ošetření stále zůstává odstranění ...

uložit

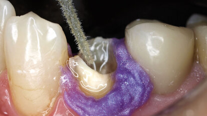
S čepem nebo bez čepu – otázka míry destrukce zubních tkání

Velká míra destrukce v oblasti klinické korunky hovoří pro zesílení retence a zpevnění nástavby ...

uložit

Vhodná technika vypracování apikální části kořenového kanálku

Vypracování apikální části kořenového kanálku zajistí optimální podmínky jeho...

uložit

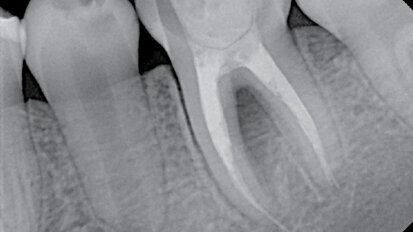
Problematika kalcifikovaných kanálků, kazuistika

Pacient, jehož snímek je na obrázku 1, byl odkázán na endodontistu, protože prvnímu lékaři se nepodařilo ...

uložit
advertisement

Frenektomie – Srovnání konvenčních technik a diodového laseru

Pojem frenum je odvozen od latinského slova „fraenum“. Frena jsou trojúhelníkové záhyby ...

uložit

IDS 2011 – chystá se další rekordní dentální veletrh

COLOGNE & LEIPZIG/Německo:Návštěvníci příštího IDS v Německu by si měli na nejnovější ...

uložit
advertisement
advertisement