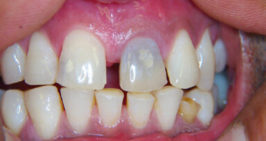
Dvě kazuistiky přímé kompozitní dostavby frontálních zubů s pomocí kompozitního materiálu Charisma Topaz (Heraeus Kulzer). Zkrácená verze – celý článek naleznete na www.stomateam.cz, nebo v časopise StomaTeam 5/2016 (pozn. red.).
Frontální výplně jsou velice individuálním typem ošetření, při němž terapeutické možnosti závisí především na velikosti defektu a estetických požadavcích pacienta. Přestože nepřímé keramické náhrady jsou vysoce kvalitním univerzálním „kouzelným“ výstupem, který umožňuje vložit estetické a funkční problémy do rukou zubního technika, vyžadují obvykle výrazně masivnější základní konstrukci než přímé kompozitní výplně a jsou také výrazně dražší. Kromě aspektu nákladů však přímé výplně skórují i z hlediska přístupu „jedné návštěvy“, tj. že pacient nepotřebuje žádnou provizorní náhradu a může jednoduše odejít domů s definitivní výplní. V zásadě totéž je možné se systémem Cerec, ale požadavky na zbytkovou hmotu zubu a náklady zde zůstávají.
Takto velké rekonstrukce funkce frontálních zubů hovoří samy za sebe díky metaanalýze zveřejněné na toto téma, které se podařilo prokázat míru průměrné roční ztráty kompozitních výplní mezi 0 až 4,1 %. Protože hlavním důvodem selhání větších výplní kavit IV. třídy bylo jejich odlomení, je prokázán význam volby stálejších kompozitních materiálů, které mají vysokou pevnost v lomu.
embedImagecenter("Imagecenter_1_2524",2524, "large");
„Je velice důležité informovat pacienta o tom, že výsledek bělení není zcela předvídatelný, a že ...
Ze současného „akademického“ pohledu prodělala lidská civilizace tři průmyslové revoluce, a právě žijeme ve čtvrté. První revolucí byl ...
O možných příčinách ortodontických anomálií se debatuje již od vzniku ortodoncie jako samostatného ...
S cílem nabídnout vodítko klinikům, kteří chtějí intraorální skenování smysluplně a efektivně zavést do praxe, se nedávný přehledový ...
Pokud v minulosti pacientova situace v ústech vyústila v kompletní ztrátu zubů, bylo ošetření omezené na totální náhradu bez jakékoliv naděje ...
Jiný pohled na chirurgicky asistovaný pohyb zubů
Zavedení nových technologií je ve 21. století zásadní pro každou ortodontickou praxi, která se snaží expandovat a inovovat. Rychlá reakce na ...
Použití titanových bází při výrobě zirkonových zubních náhrad (individuálních ...
V závislosti na indikaci může trvat dokončení implantologického případu tři až dvanáct měsíců, přičemž je potenciálně zapotřebí kvůli ...
Anatomická variace horních středních řezáků se dvěma kořeny a dvěma kořenovými kanálky se vyskytuje velmi vzácně. Diagnostika a ošetření ...
Živý webinář
Po. 11 května 2026
6:00 (CET) Prague
Živý webinář
Po. 11 května 2026
7:00 (CET) Prague
Živý webinář
Út. 12 května 2026
7:00 (CET) Prague
Živý webinář
Čt. 14 května 2026
6:00 (CET) Prague
Živý webinář
Čt. 14 května 2026
8:00 (CET) Prague
Prof. Hani Ounsi DDS PhD FICD
Živý webinář
Út. 19 května 2026
5:00 (CET) Prague
Živý webinář
Út. 19 května 2026
7:00 (CET) Prague
Prof. Dr. med. dent. Ivo Krejci
To post a reply please login or register