Search Dental Tribune

3D tisk ve stomatologii: Tajemství, jak nabídnout více za méně

Obr. 1: Digitální skeny umožňují zubním lékařům podrobně posoudit intraorální situaci pacienta. (Všechny obrázky: Dr. Fernando Gérman)

Pá. 17 října 2025

uložit

3D tisk přinesl revoluci do moderní stomatologie a nabízí cenově efektivní, univerzální a účinnou alternativu k tradičním metodám výroby. Mnoho zubních lékařů, kteří mají zájem tuto technologii zavést, však čelí dvěma častým obavám: vysokým počátečním investičním nákladům a představě, že zvládnutí této technologie vyžaduje mnoho času a úsilí. Tento článek má ukázat, že 3D tisk v kombinaci s digitálním pracovním postupem – od skenování intraorálním skenerem Medit až po výrobu pomocí 3D tiskového systému SprintRay – je reálnou a dostupnou možností. Článek se zaměří na jeho klinické využití, potenciální návratnost investic a schopnost přizpůsobit se finančním možnostem pacientů.

Integrace digitálního pracovního postupu

Digitální workflow začíná již při první návštěvě, kdy probíhá intraorální skenování. Tento proces umožňuje kompletně digitální přístup od první konzultace a zubnímu lékaři dává možnost:

  1. poskytnout kompletní přehled o intraorálním stavu pacienta;
  2. analyzovat stomatologické problémy z vizuálního hlediska, například chybějící zuby a jejich vliv na sousední zuby, a navrhnout řešení (obr. 1);
  3. posoudit skus jak ze statického, tak dynamického hlediska díky volnému pohybu dolní čelisti při dynamickém skenování (obr. 2);
  4. identifikovat oblasti s nejvyšším okluzním tlakem a pochopit možné důsledky, jako jsou fraktury, abraze a ztráta funkce (obr. 3);
  5. reprodukovat a kdykoli vyvolat záznamy pacienta;
  6. simulovat návrh úsměvu;
  7. vytvořit tisknutelné pryskyřičné modely nebo přenést naskenovanou čelist do softwaru pro řízenou chirurgii a následně vytisknout chirurgickou šablonu pro přesné zavedení implantátů (obr. 4);
  8. navrhnout korunky, emergence profily, chrániče zubů proti bruxismu, Marylandské můstky, provizorní náhrady (obr. 5–7) a další individuální pomůcky.

Tyto digitální možnosti doplňuje interaktivní 3D prezentace, která pacientovi umožňuje detailně si prohlédnout jeho intraorální stav, porozumět svým potřebám a již od první návštěvy prozkoumat možnosti léčby. Tento přístup zajišťuje diagnostickou přesnost, optimalizaci léčby a poučnou zkušenost pro pacienta.

Možnosti tisku s pryskyřicemi SprintRay pro 3D tisk: všestrannost a nákladová efektivita

Systém 3D tisku SprintRay nabízí širokou škálu pryskyřic navržených tak, aby pokryly všechny klinické potřeby zubní ordinace. Níže jsou uvedeny některé z dostupných materiálů pro 3D tisk, jejich použití a vlastnosti.
1. SprintRay OnX Tough 2:

  • Určena pro provizorní implantátové rekonstrukce
  • Biokompatibilní, ideální pro okamžité zatížení implantátů
  • Odolná a estetická, umožňuje dlouhodobé použití po dobu stabilizace periimplantátových tkání
  • Složena z polymerní matrix vyztužené keramickými nanočásticemi, což ji řadí mezi nanokeramické hybridní pryskyřice
  • Obsahuje technologii NanoFusion pro rovnoměrnou distribuci keramických nanočástic v polymerní matrix (8), která zajišťuje vynikající mechanické vlastnosti, jako je vysoká ohybová a lomová pevnost, a přirozenou translucenci podobnou zubní sklovině (obr. 9)

2. SprintRay Ceramic Crown:

  • Vhodná pro definitivní i provizorní rekonstrukce, včetně celých a částečných korunek, fazet, inlayí a onlayí
  • Nabízí pevnost srovnatelnou s keramikou při výrazně nižších výrobních nákladech
  • Může zůstat v ústech delší dobu, v závislosti na místních předpisech a klinickém uvážení zubního lékaře (obr. 10)
  • Nanokeramický hybridní materiál s více než 50% obsahem anorganické keramiky, který poskytuje vynikající mechanické a estetické vlastnosti
  • S novou tlakovou tiskárnou (Midas, SprintRay; obr. 11) lze vytisknout korunky a fazety navržené pomocí umělé inteligence již za 5 minut, přičemž v jednom tiskovém cyklu je možné vyrobit až šest korunek a devět fazet

3. SprintRay Temporary & Crown:

  • Vyvinuta pro provizorní rekonstrukce, jako jsou můstky a korunky pro krátkodobé a střednědobé použití
  • Navržena tak, aby poskytovala pohodlí a estetiku během plánování definitivních rekonstrukcí, přičemž nabízí cenově výhodnou provizorní variantu

4. SprintRay Surgical Guide 3:

  • Určena pro vysoce přesné chirurgické šablony (obr. 12)
  • Snižuje riziko chyb při složitých implantologických výkonech
  • Umožňuje lepší vizualizaci během operace (obr. 13)
  • Lze použít k výrobě individuálních vhojovacích abutmentů

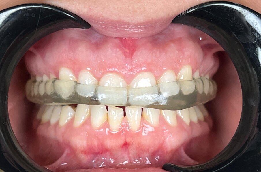
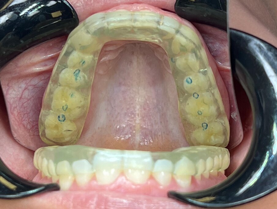
5. SprintRay NightGuard Flex:

  • Určena pro individuální chrániče zubů, například noční chrániče proti bruxismu (obr. 14)
  • Poskytuje vynikající pevnost a přesné přizpůsobení pro lepší komfort pacienta
  • Přizpůsobuje se zubům vlivem tepla v ústní dutině, čímž zlepšuje retenci a pohodlí při používání
  • Má optimální tvrdost zajišťující mechanickou odolnost a zároveň komfort při nošení
  • Kompatibilní s cloudovým designovacím systémem SprintRay nebo se softwarem Medit Splints pro intuitivní a rychlý návrh (obr. 15–17)

Jaké zisky lze dosáhnout s 3D tiskovým systémem?

Počáteční cena vysoce kvalitního 3D tiskového systému, jako je SprintRay, se pohybuje mezi 12 000 € a 15 000 €, v závislosti na konfiguraci a zahrnutém příslušenství. Tato investice se však může velmi rychle vrátit díky univerzálnosti jeho využití a úsporám nákladů, kterých lze dosáhnout výrobou přímo v ordinaci (tab. 1).

V uvedeném příkladu činí odhadovaný celkový měsíční zisk 11 640 €, což ukazuje, že počáteční investici do 3D tiskového systému SprintRay lze při plném využití kapacity získat zpět již za 1,5 měsíce. Pro nového uživatele je přirozené, že dosažení plného vytížení bude chvíli trvat, avšak zkušenosti, motivace a odpovídající školení výrazně urychlí návratnost investice a umožní rychlejší splacení. Kromě finančních přínosů poskytuje tento systém také strategickou výhodu tím, že zvyšuje profesionální úroveň ordinace a odlišuje ji od konkurence.

Demokratizace stomatologie pomocí 3D tištěných provizorních nebo definitivních náhrad

3D tisk se systémem SprintRay přináší revoluční řešení, které umožňuje výrobu vysoce kvalitních, estetických zubních náhrad s nízkými náklady. Tím se otevírá cesta k dostupnější stomatologii, aniž by došlo ke snížení klinických standardů. Pokročilé pryskyřice, jako OnX a Ceramic Crown, umožňují výrobu provizorních i definitivních korunek a můstků. Tyto 3D tištěné provizorní náhrady jsou ideální během fáze hojení po implantologickém zákroku nebo v době stabilizace periimplantátové tkáně.

V závislosti na místních předpisech a odborném úsudku lékaře mohou tyto náhrady zůstat v ústech po celé měsíce a poskytovat funkčnost i estetiku během kritické fáze léčby (obr. 18). Pokud finanční možnosti pacientovi neumožňují volbu definitivní keramické náhrady, nabízejí pryskyřice SprintRay cenově dostupnou, odolnou a esteticky přijatelnou alternativu. Jejich použití umožňuje ordinacím flexibilně upravovat ceny a využívat ziskové marže, které 3D tisk nabízí. Tento přístup prospívá pacientovi díky snížení nákladů a současně zvyšuje ekonomickou efektivitu a dostupnost poskytovaných ošetření.

Nabídkou dlouhodobých provizorních nebo definitivních náhrad – podle legislativy platné v dané zemi – lze rozšířit možnosti přijetí kompletní léčby. To poskytuje reálné řešení pro případy, které by jinak byly kvůli finančním překážkám odmítnuty. Navíc mají zubní lékaři možnost tyto náhrady ponechat natrvalo, nebo je později nahradit keramickými variantami, a to buď po stabilizaci tkáně, nebo až finanční situace pacienta dovolí.

Závěry k zavedení plně digitálního pracovního postupu

Integrace pokročilých technologií, jako jsou SprintRay a Medit, do zubní praxe představuje významnou příležitost, jak se v dnešním konkurenčním prostředí odlišit. Tyto nástroje usnadňují přechod na plně digitální workflow a překonávají tradiční bariéry spojené s náklady a náročností zaučení.

SprintRay nabízí cenově dostupná řešení 3D tisku a širokou škálu vysoce kvalitních pryskyřic pro výrobu přesných a estetických zubních náhrad. Intraorální skenery Medit, jako jsou modely Medit i700 a Medit i900, jsou známé svou rychlostí, přesností a snadným ovládáním – faktory zásadními pro optimalizaci klinických postupů a zlepšení pacientského komfortu (obr. 19).

Využití těchto technologií nejen umožňuje přístup ke kvalitní stomatologické péči, ale také nabízí individualizovaná řešení pacientům s finančními omezeními. Možnost přizpůsobit náhrady konkrétním potřebám pacienta a místním předpisům zajišťuje větší flexibilitu a klinický úspěch.

Klíčové body pro zavedení a maximalizaci digitálního workflow:

  1. Průběžné školení – Investice do vzdělávání celého týmu je zásadní pro plné využití potenciálu těchto digitálních nástrojů. Znalost softwaru a skenovacích protokolů zajistí hladký a efektivní přechod. Systém protokolů SprintRay umožňuje týmu ordinace pracovat v jednom provázaném workflow.
  2. Optimalizace pracovního postupu – Integrace intraorálního skenování a 3D tisku do každodenních postupů může výrazně zkrátit dobu ošetření a zvýšit přesnost náhrad.
  3. Personalizace léčby – Digitální návrhové možnosti umožňují tvorbu léčebných plánů přesně na míru potřebám a očekáváním pacienta, což zvyšuje spokojenost i klinické výsledky.
  4. Efektivní komunikace s pacientem – Poskytnutí digitálních vizualizací navrhovaného ošetření zlepšuje porozumění a akceptaci plánu léčby a posiluje důvěru v poskytované služby.
  5. Pravidelná technologická aktualizace – Udržování kroku s inovacemi v oblasti dentální technologie zajišťuje využívání nejnovějších zlepšení v efektivitě a kvalitě péče.

Plně digitální workflow v zubní ordinaci nejen mění způsob práce, ale také zlepšuje kvalitu života pacientů díky přesnějším, rychlejším a dostupnějším řešením. Zároveň přináší benefity i samotné praxi – od optimalizace časového managementu přes snížení profesního stresu až po omezení počtu návštěv pacientů – což v konečném důsledku zvyšuje celkovou kvalitu života stomatologů.

Redakční poznámka:

Tento článek byl publikován v časopise 3D printing – international magazine of dental printing technology, roč. 5, číslo 1/2025.

Témata:
To post a reply please login or register
advertisement
advertisement