Search Dental Tribune

Fotogalerie

advertisement

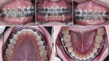
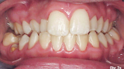
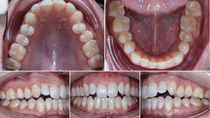
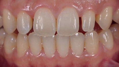
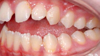
O lingvální ortodoncii

Po. 2. dubna 2018

advertisement
advertisement
advertisement
advertisement
advertisement

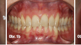
Moje absolutní proměna

Čt. 11. ledna 2018

advertisement
advertisement