Search Dental Tribune

Fotogalerie

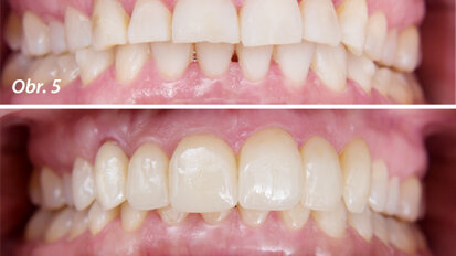
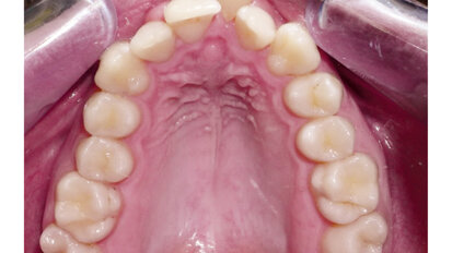
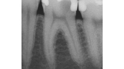
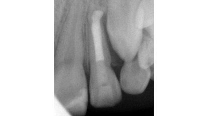
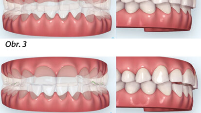
Hybridní terapie alignery

Pá. 8. března 2019

advertisement
advertisement

Den české stomatologie

Pá. 26. října 2018

advertisement
advertisement
advertisement

Osvětlení zubních ordinací

Ne. 2. září 2018

advertisement

Jules Allemand Trophy

Út. 21. srpna 2018

advertisement
advertisement