Search Dental Tribune

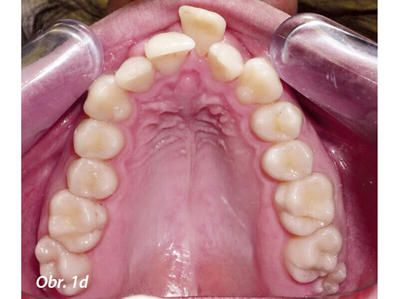
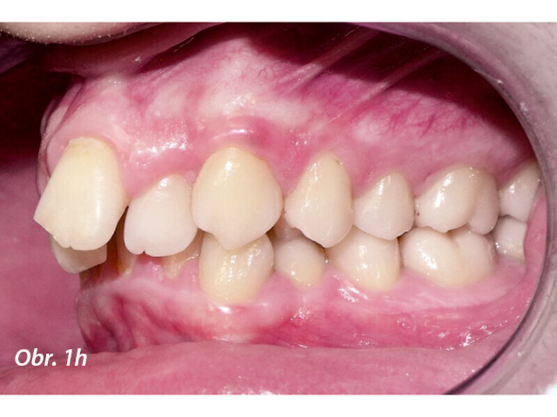
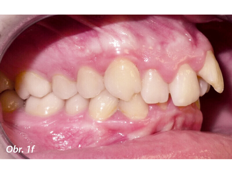
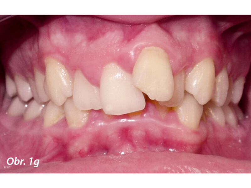
Neextrakční léčba závažného stěsnání pomocí cyklických sil a kortikotomií

advertisement
advertisement