Search Dental Tribune

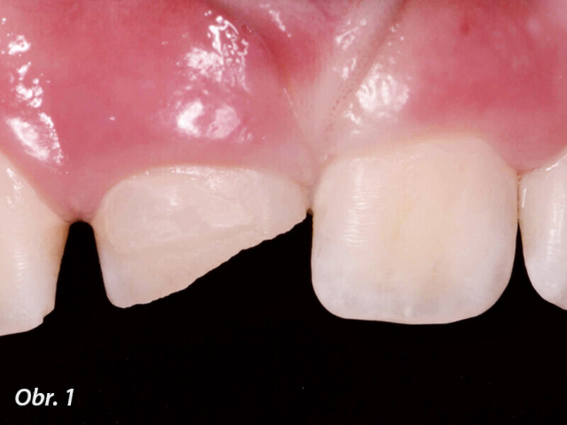
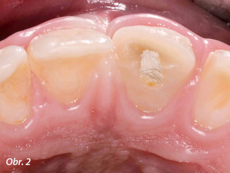
Endodontické ošetření horního středního řezáku s atypickou anatomií

advertisement