Search Dental Tribune

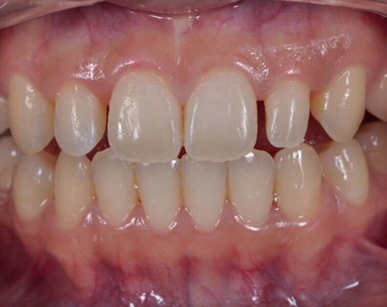
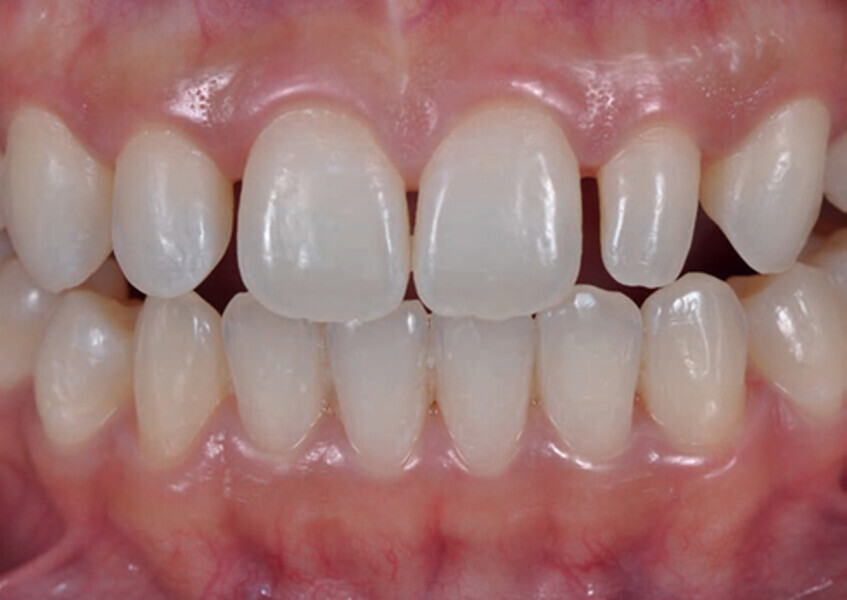
Stefan Koubi – případová studie bělení zubů

advertisement
advertisement