Search Dental Tribune

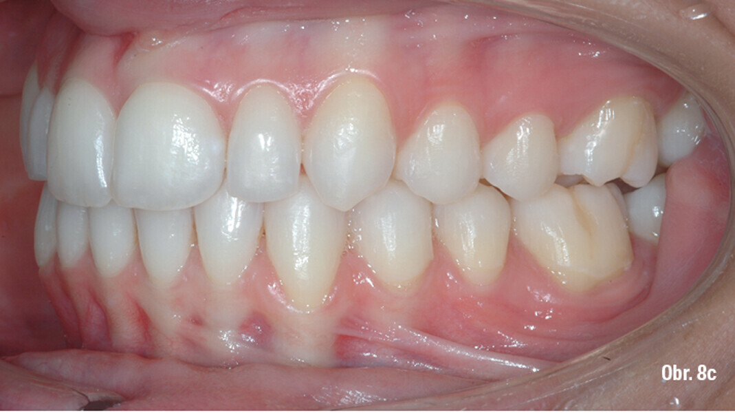
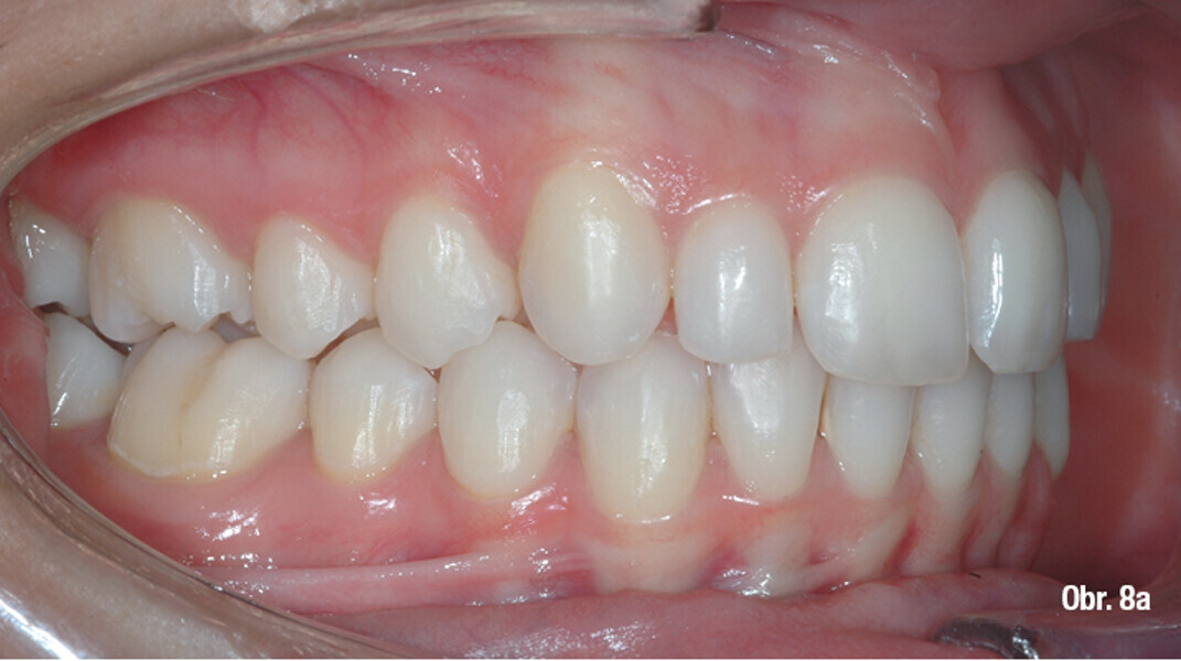
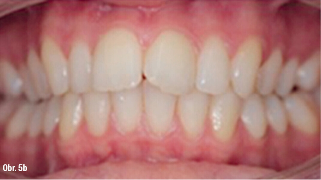
Distalizace horních molárů pomocí alignerů a cyklických sil

advertisement
advertisement