Search Dental Tribune

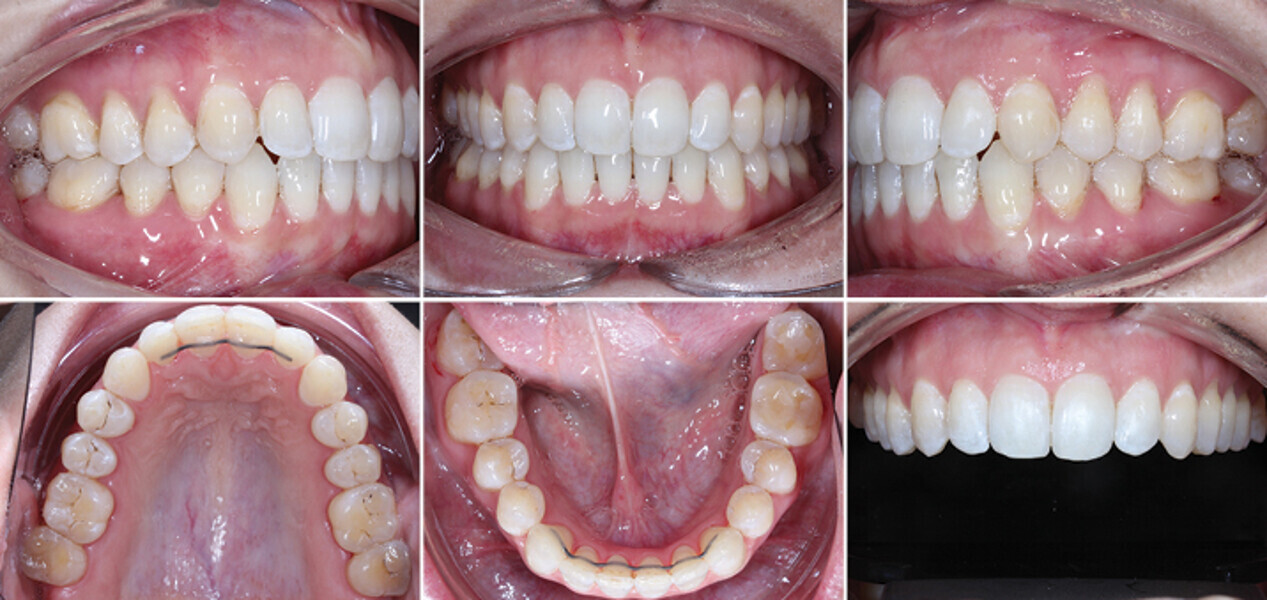
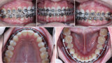
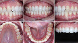
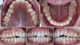
Řešení otevřeného skusu u dospělého pomocí Insignia™ systému a Straight-Wire™ finishingu

advertisement
advertisement