Search Dental Tribune

Dítě v ordinaci dentální hygienistky

Dítě v ordinaci dentální hygienistky, Alena Tihanová, DiS.
Alena Tihanová, DiS.

Alena Tihanová, DiS.

Út. 22 března 2022

uložit

Hlavním cílem našeho snažení v zájmu dětského pacienta ve stomatologii by měla být prevence vzniku zubního kazu a případná eliminace komplikací s ním souvisejících. Předcházení vzniku onemocnění ve všech zdravotnických oborech je pro společnost vždy ekonomičtější než následná terapie.

V rámci individuální péče o zdraví je třeba cílit již na potenciálního rodiče. Jedinec chápající zodpovědnost za své zdraví pravděpodobně předá model tohoto chování svým dětem. Stomatologie ve vyspělých zemích je koncipována jako interceptivní obor, kde jsou preferovány minimálně invazivní záchovné postupy zohledňující celostní přístup k pacientovi. V rámci takto koncipované terapie má každý člen dentálního týmu svou nezastupitelnou roli. Osobu pečující o dítě je třeba přesvědčit o významu spolupráce v zájmu dítěte i za cenu vlastního mírného diskomfortu. Spolu s významem výběru pomůcek pro ústní hygienu a dodržování zvolených technik čištění zubů je třeba vyzdvihnout kvalitativně i kvantitativně vyváženou stravu a pitný režim a přiměřenou lokální fluoridovou substituci. Správně cílená motivace by měla fungovat i ve chvíli, kdy se „nikdo nedívá“. K tomu je zapotřebí uzpůsobit motivaci a instruktáž konkrétní socioekonomické situaci dané rodiny. Metodika postupů vedoucích k eliminaci etiologických faktorů onemocnění dutiny ústní by měla být věcná, stručná a názorná. A jen reálně splnitelné cíle mohou být motivační. Tam, kde spolupráce selhává, je třeba hledat chybu především ve vlastních řadách a zamyslet se nad možnými příčinami neúspěchu.

„Preprimární“ prevence

Ideálem pacienta stomatologického týmu by měl být jedinec s intaktním chrupem a zdravým parodontem. Prostředkem k dosažení tohoto cíle je důsledné systematické předcházení onemocnění v dutině ústní od samého počátku vývoje zubů. Nezbytná je maximální spolupráce všech zúčastněných stran, tedy lékaře, dentální hygienistky, zdravotní sestry, rodiče a později i dítěte. Prevence u dětí začíná daleko před zahájením erupce dočasné dentice. Jedinec, který má sám nastaveny priority ohledně zodpovědnosti ke svému zdraví, včetně orálního, bude v budoucnu kvalitnějším rodičem a členem „dentálního týmu“. Zdravá matka má větší pravděpodobnost, že přirozeně porodí gestačně zralého, eutrofického jedince, tzn. u jejího dítěte hrozí mnohem menší riziko vývojových malformací a anomálií tvrdých zubních tkání a nefyziologické imunitní odpovědi organismu v kontextu rizik časného zubního kazu u dětí s nízkou porodní hmotností. Na základě mnoha studií lze považovat zdravý mikrobiom matky již od samého počátku gravidity za významný protektivní faktor časného vzniku zubního kazu u dětí. Důležitou roli hraje i zdravá vyvážená strava a aktivity vedoucí k ozdravení organismu. V neposlední řadě je nezbytná efektivní, atraumatická a individualizovaná profesionální i domácí dentální hygiena.

 

Primární a sekundární prevence

Po narození dítěte by měl rodič průběžně dostávat srozumitelné informace o principech zubní prevence. Mělo by se mu dostat poučení ohledně předpokládané časové osy erupce dočasného chrupu, výhodách i úskalích kojení, rozdílech mezi dočasným a stálým chrupem, specifikách výměny chrupu a především o technikách účinné eliminace plaku u dočasného i smíšeného chrupu a jejich významu. Za velmi důležité je považováno zdůraznění rizik spojených s přenosem mikroorganismů slinami.  Všechny tyto informace lze předat budoucí matce také v podobě vhodně zpracovaného informačního/edukačního materiálu, ať už v tištěné či elektronické formě. Osobní cíleně individualizovaný pohovor, který je nutné provádět s každým pacientem, je poté obvykle efektivnější – pacient má díky informačnímu materiálu již více potřebných informací a více si jich při osobním sezení zapamatuje. Informační materiál je vhodné mít zpracovaný pro všechny pacienty dle věkových skupin.

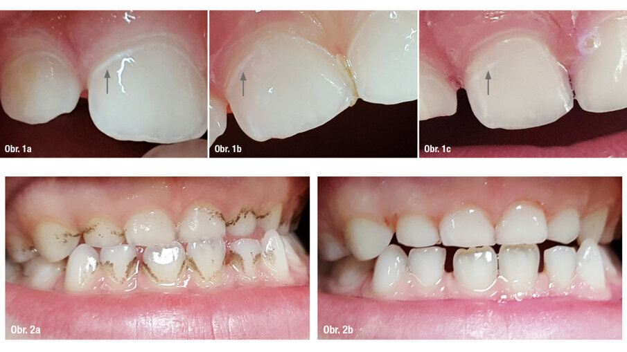
V informačních brožurách se postupně pečující osoba dozví, jak u dětí předcházet onemocnění v dutině ústní. Edukace k prevenci by se vždy měla skládat ze čtyř pilířů: 1. Srozumitelně popsané etiologie onemocnění v dutině ústní, vztahově provázané k dané věkové skupině (zub, bakterie, výživa = biofilm + čas = plak). Vycházet lze např. z Millerovy chemicko-parazitální teorie. Vztah výživy k zubnímu kazu (vztahové souvislosti mezi pH v dutině ústní a principy metabolismu skloviny). Důležité je zdůraznit význam i rizika fluoridace (dávkování fluoridů vzhledem k věku, tj. základní poučení rodiče v kontextu zdrojů a působení fluoridů, ppm v zubních pastách). Pravidelné preventivní kontroly pacienta u zubního lékaře a dentální hygienistky. Zde by měl být především zmiňován význam dočasného chrupu, rizika a následky předčasné ztráty tvrdých zubních tkání a možnosti remineralizace skloviny při včasném záchytu počínající kazivé léze (obr. 1a–c).

V informačním materiálu by měla být názorná fotodokumentace, rady a tipy, jak problémům předcházet a kontakt, kam se obrátit v případě nejistoty. Rodič by měl být motivován pravidelně kontrolovat stav ústní dutiny svého dítěte. S ohledem na značnou agresivitu a rychlou progresi zubního kazu v dětském věku (6–36 měsíců) by zejména u dětí do tří let měl být rodič nabádán k neodkladné konzultaci s lékařem.

Pečující osoba by se měla dozvědět jak, čím a od jakého věku by měla používat konkrétní pomůcky a prostředky orální hygieny. V rámci dentální hygieny by hygienistka měla dbát na praktický nácvik čištění přímo v ústech dítěte a cíleně individualizovat obecné informace. Pečlivým, pravidelným přivykáním a postupným zapojováním vyšetřovacích i ošetřovacích nástrojů i přístrojů lze po několika návštěvách u dentální hygienistky dosáhnout sanovatelnosti kazivých lézí menšího rozsahu i u dvouletých dětí. Pětileté děti, které projdou takovouto přípravou od raného věku, potřebují procentuálně méně častou sanaci. Ale pokud je třeba, bývají snáze ošetřitelné. Negativní zážitky spojené s vynuceným akutním ošetřením mohou na dítěti zanechat trvalé psychické trauma. Celková anestezie je pro dětský organismus velkou zátěží a sanace bývá vždy radikálnější. Psychofarmaka užívaná k analgosedaci se smí indikovat pouze v omezené míře. Proto by na prevenci měl být kladen velký důraz.

Alena Tihanová, DiS.
Původní profesí dětská ARIP sestra
24 let v oboru stomatologie
15 let dentální hygienistka
13 let školní a mimoškolní přednášková činnost
6 let OSVČ a majitelka soukromé praxe
Skupinová prevence
Od r. 2006–2013 FOD Klokánek
Od r. 2005 Školy, stacionáře, kluby
Individuální prevence
Od r. 2007 tvorba vlastních osvětových materiálů
Od r. 2007 Ordinační motivace, instruktáž dětí a rodičů

Alena Tihanová, DiS.

Zaujala vás ukázka článku?

Celý článek můžete prostudovat v příslušném vydání časopisu Prevention CZ/SK 1/2022

To post a reply please login or register
advertisement