Search Dental Tribune

Fotogalerie

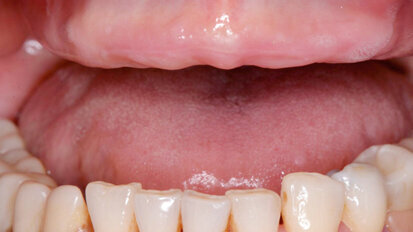
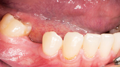
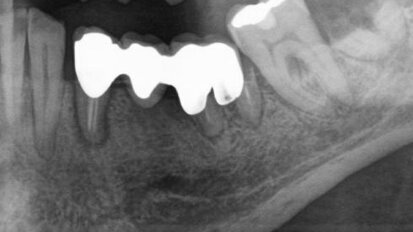
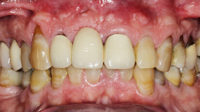
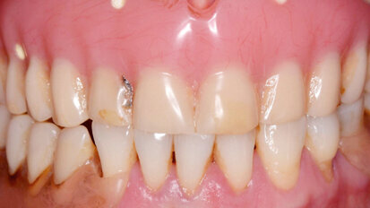
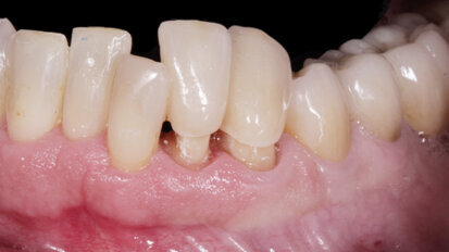
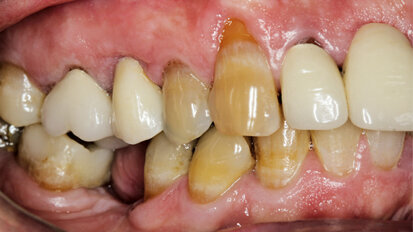
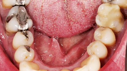
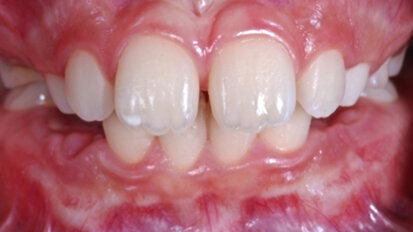
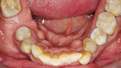
Retence získává nový význam

Út. 20. července 2021

advertisement

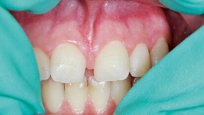
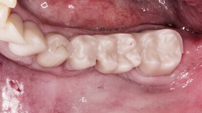
Republika bez kazu

Po. 7. června 2021

advertisement
advertisement
advertisement
advertisement

Rehabilitace Straumann

Po. 1. února 2021

advertisement

Align Technology G8

Út. 26. ledna 2021

advertisement