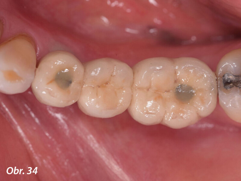
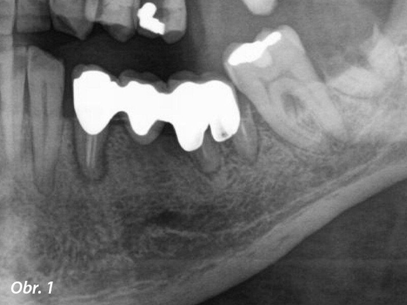
Search Dental Tribune

Rehabilitace Straumann

advertisement