Search Dental Tribune

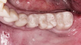
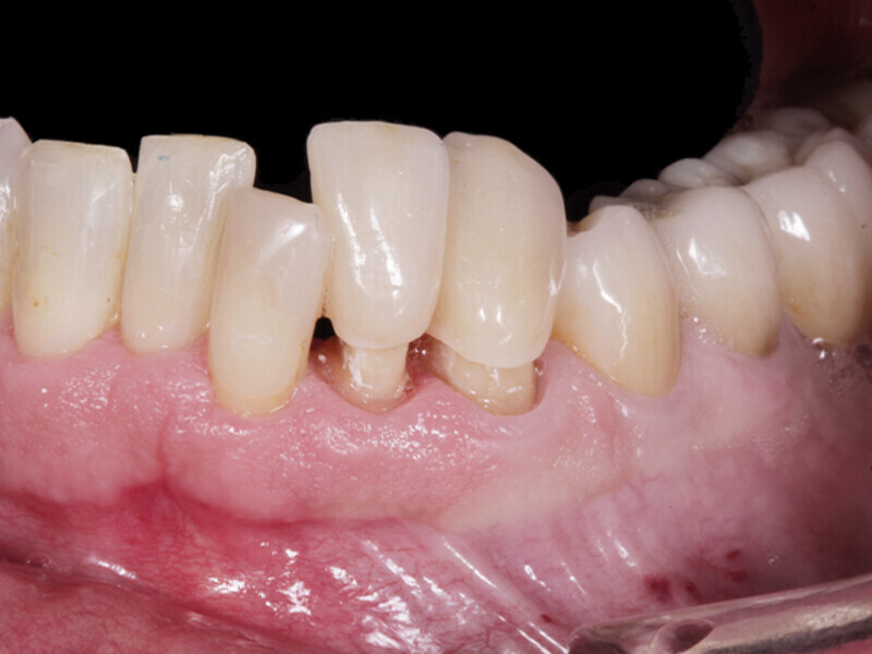
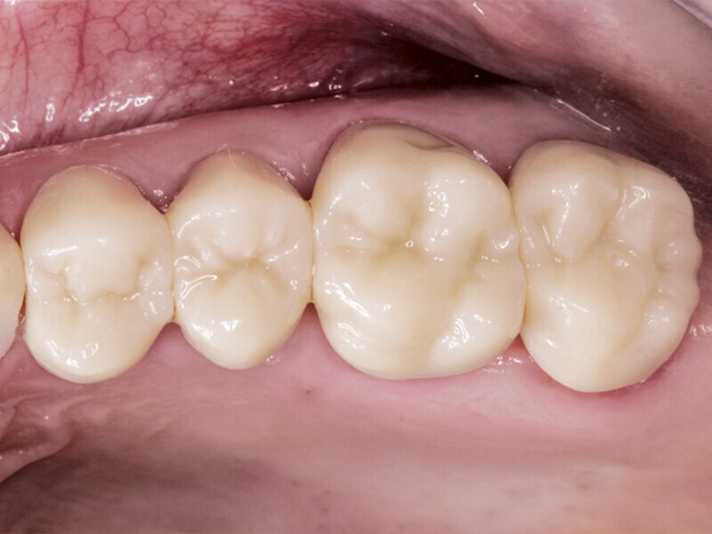
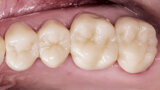
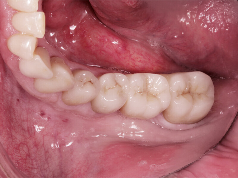
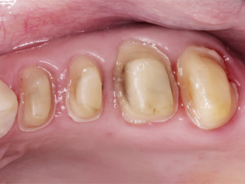
Zirlux 16+ univerzální estetický zirkonový materiál

advertisement