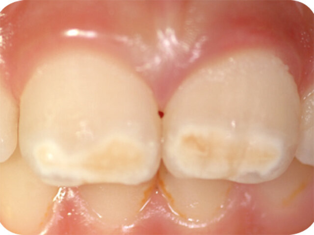
Molárová a incizální hypomineralizace skloviny (Molar Incisor Hypomineralisation – MIH) je globální problém postihující každé sedmé dítě. MIH je běžná vývojová porucha postihující především jeden nebo více prvních stálých molárů. Centrální řezáky mohou být rovněž postiženy, většinou však v menší míře. Může též dojít k hypomineralizaci druhých dočasných molárů (Hypomineralised Lesions on Second Primary Molars – HSPM, hypomineralizační léze druhých stálých molárů) nebo špičáků. U dětí s HSPM je až pětkrát vyšší pravděpodobnost vzniku MIH u stálého chrupu. Závažnost se velmi liší od mírných opacit k posterupčnímu odlomení skloviny.
Molárová a incizální hypomineralizace skloviny (MIH)
V současné době zůstává etiologie MIH neznámá. Byly popsány jisté korelace s prenatálním, perinatálním a postnatálním onemocněním, expozicí antibiotikům nebo chemickým látkám jako dioxin, bisfenol A a polychlorovaný bifenyl – stále však chybí dostatek důkazů.
Klinický vzhled
- Ohraničené opacity v rozpětí od krémově bílé, přes žlutou až po hnědé diskolorace
- Poškozená sklovina má normální tloušťku (dokud nedojde k posterupčnímu odlomení skloviny)
- Léze se mohou vyskytovat asymetricky
- Je-li závažně poškozen první molár, existuje zvýšená pravděpodobnost, že protilehlý molár bude rovněž poškozen
- Léze na centrálních řezácích jsou obvykle mírnější, někdy však mohou být neestetické
Příznaky
- Hypersenzitivita a snížená reakce na lokální anestetika
- Rychlá progrese zubního kazu
- Posterupční odlomení skloviny
Klinické řešení MIH je náročné díky:
- Hypersenzitivitě a rychlému rozvoji zubního kazu u postižených zubů
- Obtížnému dosahování anestezie
- Omezené spolupráci malých dětí
- Opakovanému odlamování okrajů dostaveb
- Často potřebnému většímu počtu návštěv zubního lékaře
U dětí s MIH často vzniká úzkost ze stomatologického ošetření v důsledku invazivních či dokonce bolestivých stomatologických zákroků v raném věku.
Úvodní léčebný zákrok
Motivace pacienta je první krok
- Zuby je nutno čistit dvakrát denně zubní pastou s obsahem 1000 ppm fluoridů. Obsah fluoridů by měl být přiměřený věku, u starších pacientů mohou být žádoucí vyšší hladiny fluoridů.
- Indikační pomůcky jako GC Tri Plaque ID Gel mohou pomoci indikovat kariogenní plak, motivovat pacienty a poskytnout jim příležitost ke zlepšení techniky čištění zubů.
- Je třeba se vyhnout časté konzumaci cukru a kyselých potravin.
Posílení a znecitlivění pomocí GC Tooth Mousse, GC MI Paste Plus a MI Varnish
Lokální léčba těmito preparáty je užitečná pro posílení a snížení citlivosti zubů při MIH. Obsahují Recaldent (CPP-ACP) s vysokým podílem biologicky dostupného vápníku a fosfátu, jehož aplikace se v tomto případě prokázala jako účinná4, 5 k redukci porozit a zlepšení homogennosti hypomineralizované skloviny. Příprvek Tooth Mousse bez obsahu fluoridu se doporučuje pro děti do 6 let a MI Paste Plus s 900 ppm fluoridu ro děti od 12 let. MI Varnish (22600 ppm fluoridu) je ochranný lak určený k ambulantní aplikaci jednou za čtvrt roku po profylaktickém čištění zubů k těsnému zapečetí dentálních tubulů a znecitlivění zubů.
Zaujala vás ukázka článku?
Celý článek můžete prostudovat v příslušném vydání časopisu Prevention CZ/SK 1/2020
stáhněte jej ve formátu PDF
Štítky:
PITTSBURGH & ANN HARBOR, Mich./CAMBRIDGE, Mass., USA: O sklovině se ví, že je to jedna nejtvrdších tkání v ...
LONDÝN, Anglie: Průlomová studie z King’s College London odhalila, že keratin – získaný z lidských vlasů nebo vlny – může na zubní ...
Postupy bělení zubů jsou spojeny s morfologickými změnami povrchu skloviny. V roce 1993 Shannon et al. prokázali ...
INNOVA: V klinické praxi se často setkáváme se zvýšenou citlivostí zubů a jedná se o jedno z nejčetnějších nekariézních onemocnění ...
S cílem nabídnout vodítko klinikům, kteří chtějí intraorální skenování smysluplně a efektivně zavést do praxe, se nedávný přehledový ...
WEST LAFAYETTE, Indiana, USA: Xerostomie se často vyskytuje u pacientů podstupujících hemodialýzu, chemoterapii nebo radioterapii a silně souvisí s ...
Alignery se staly oblíbenou metodou léčby malokluzí u dospělých, a to díky své pohodlnosti a estetickému vzhledu. Podle specializovaného průzkumu...
Ačkoli se povědomí o sexuálním nevhodném chování ve zdravotnictví v posledních letech zvýšilo, ve stomatologii zůstává tato problematika z ...
Pět let od svého zavedení zásadním způsobem mění Nařízení EU o zdravotnických prostředcích 2017/745 (Medical Device Regulation, MDR) proces ...
Ve dnech 14.–20. září 2025 proběhl v Hradci Králové a v Praze pilotní ročník programu EVP určený studentům zubního lékařství. Týdenní ...
Živý webinář
Čt. 30 dubna 2026
1:00 (CET) Prague
Dr. Renato Leonardo D.M.D.
Živý webinář
Čt. 30 dubna 2026
7:00 (CET) Prague
Živý webinář
Ne. 3 května 2026
6:00 (CET) Prague
Dr. Rickard Brånemark MSc, MD, PhD, Dr. Robert Gottlander DDS
Živý webinář
Po. 4 května 2026
2:00 (CET) Prague
Živý webinář
Út. 5 května 2026
4:00 (CET) Prague
Živý webinář
Út. 5 května 2026
6:00 (CET) Prague
Živý webinář
Út. 5 května 2026
7:00 (CET) Prague
Dr. Maximilian Dobbertin M.Sc
To post a reply please login or register