Search Dental Tribune

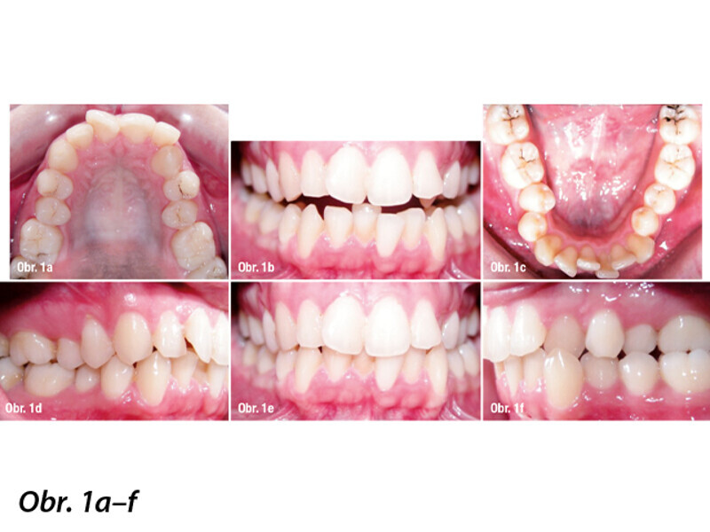
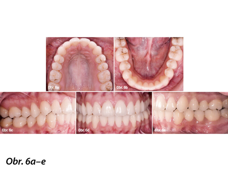
Ortodontická léčba komplexních případů malokluze pomocí průhledných alignerů

advertisement
advertisement