Search Dental Tribune

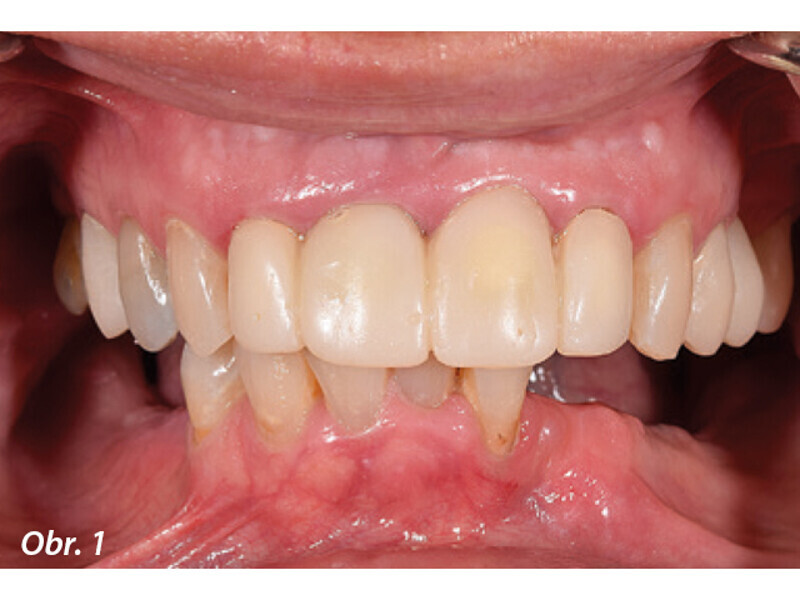
Rekonstrukce chrupu v dolní čelisti

advertisement