Search Dental Tribune

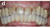
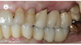
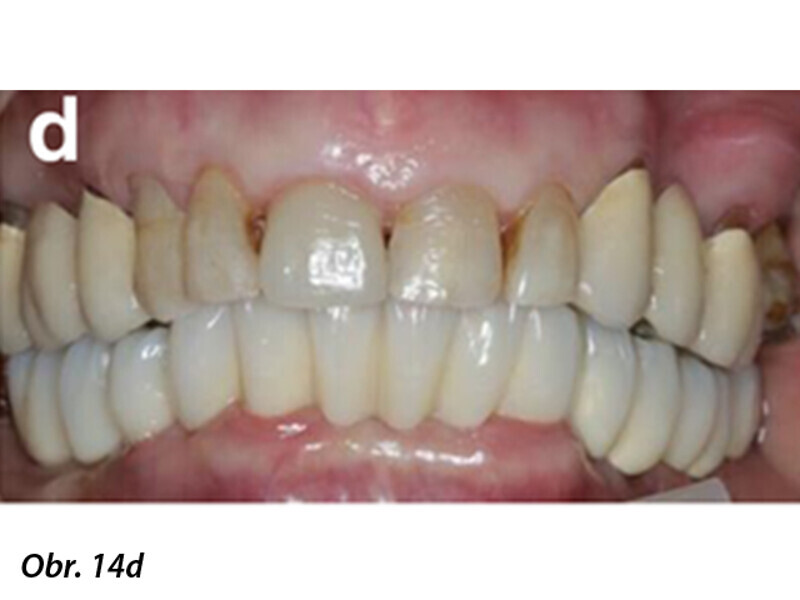
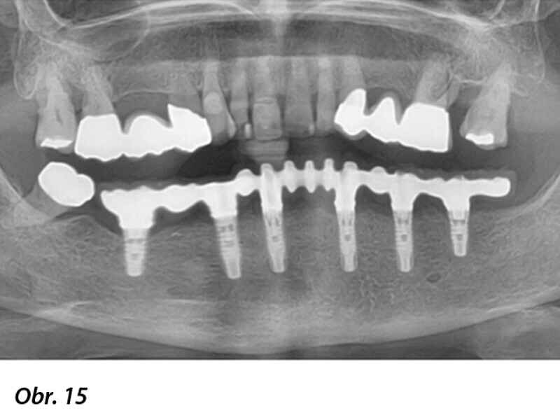
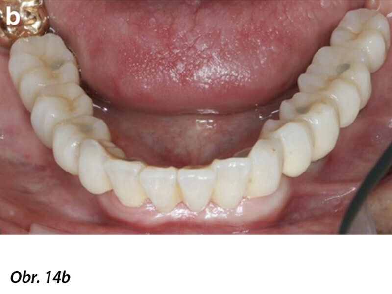
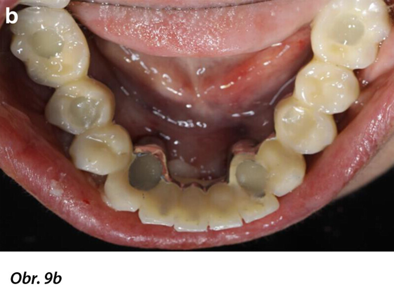
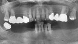
Počítačem asistované, šablonou se řídící okamžité zavedení a zatížení implantátu v dolní čelisti

advertisement