Search Dental Tribune

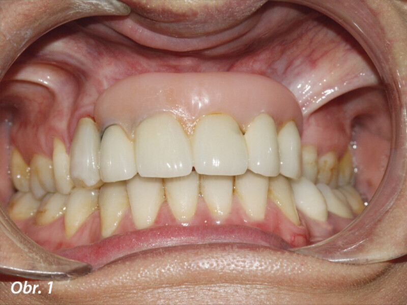
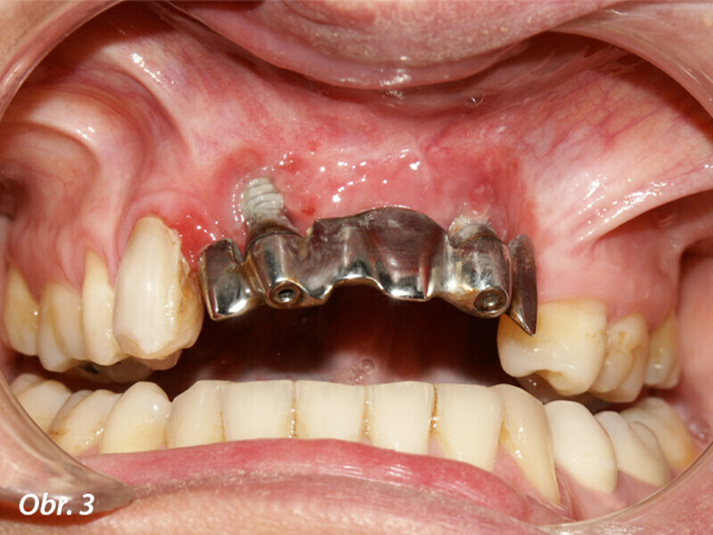
Opětovné implantologické ošetření

advertisement
advertisement