Search Dental Tribune

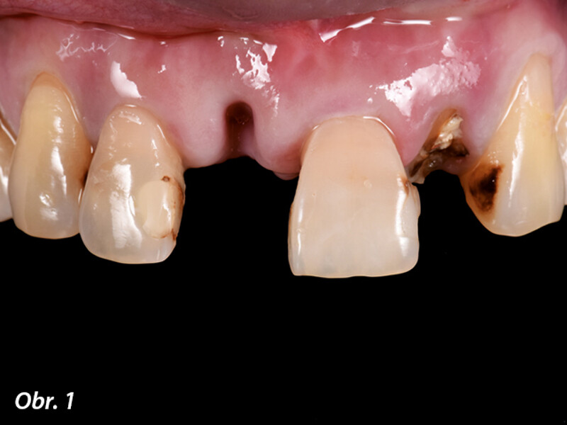
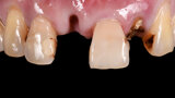
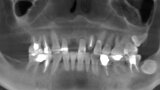
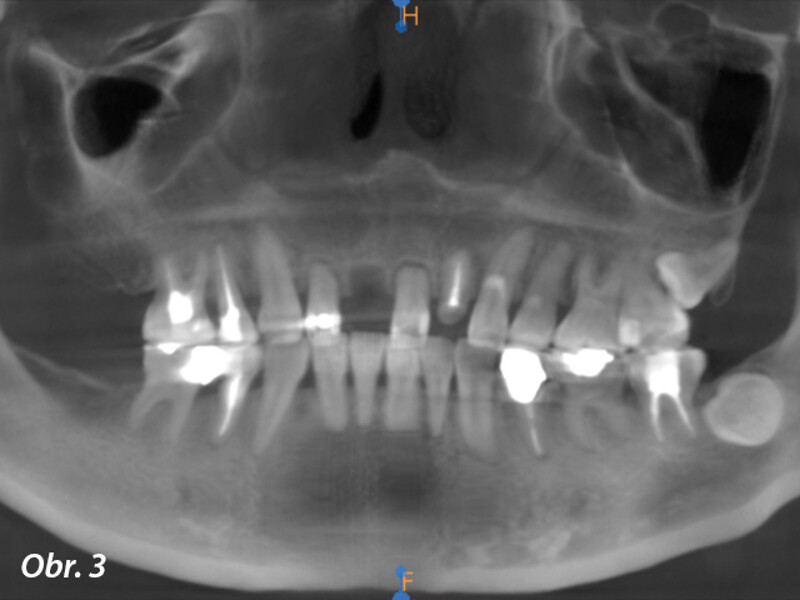
Okamžitá implantace a CADCAM

advertisement
advertisement