Search Dental Tribune

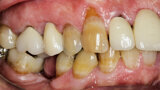
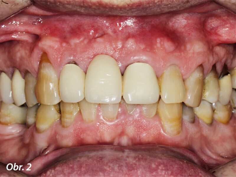
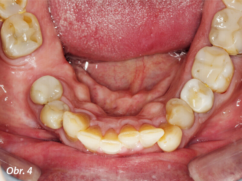
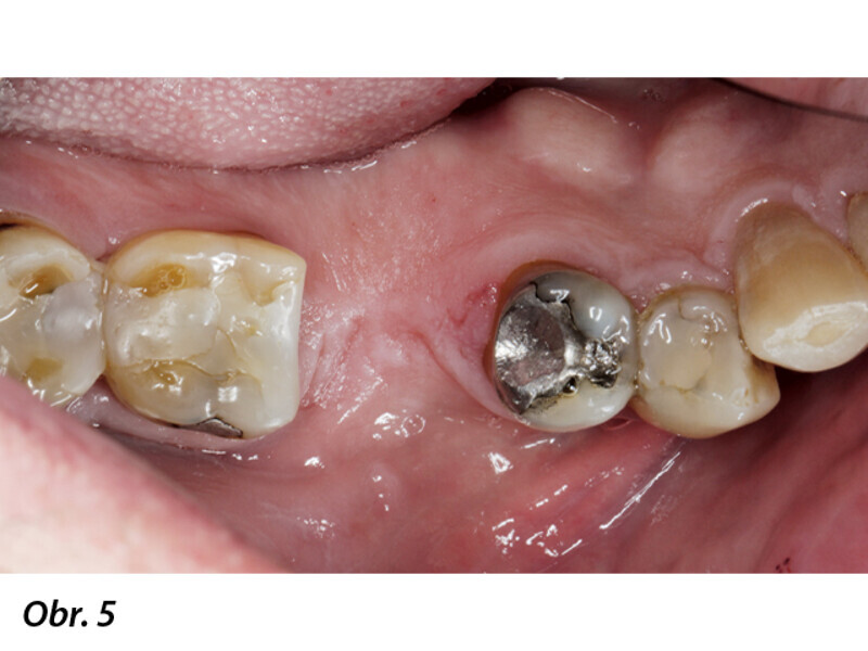
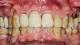
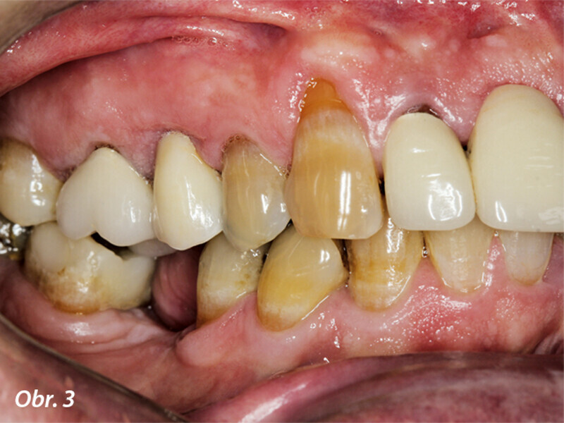
Náhrada zubu v jediné návštěvě: technika One-Tooth One-Time

advertisement
advertisement