Search Dental Tribune

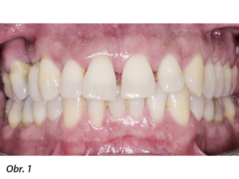
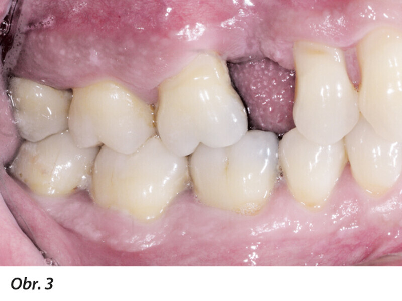
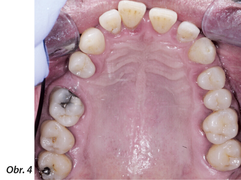
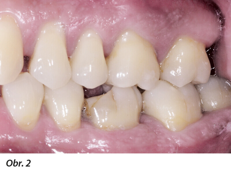
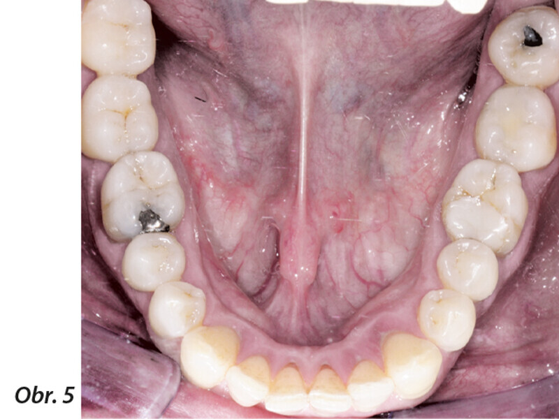
Multidisciplinární léčba u pacienta se závažnou parodontitidou

advertisement
advertisement