Search Dental Tribune

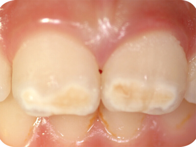
Molárová a incizální hypomineralizace skloviny

advertisement
advertisement