Search Dental Tribune

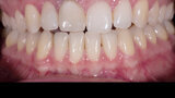
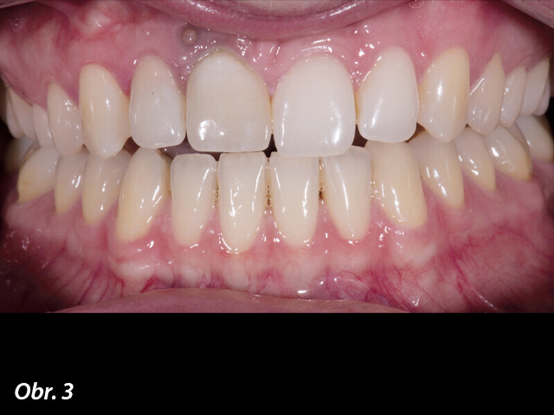
Management měkkých periimplantátových tkání pomocí kolagenní matrix a digitálního postupu

advertisement