Search Dental Tribune

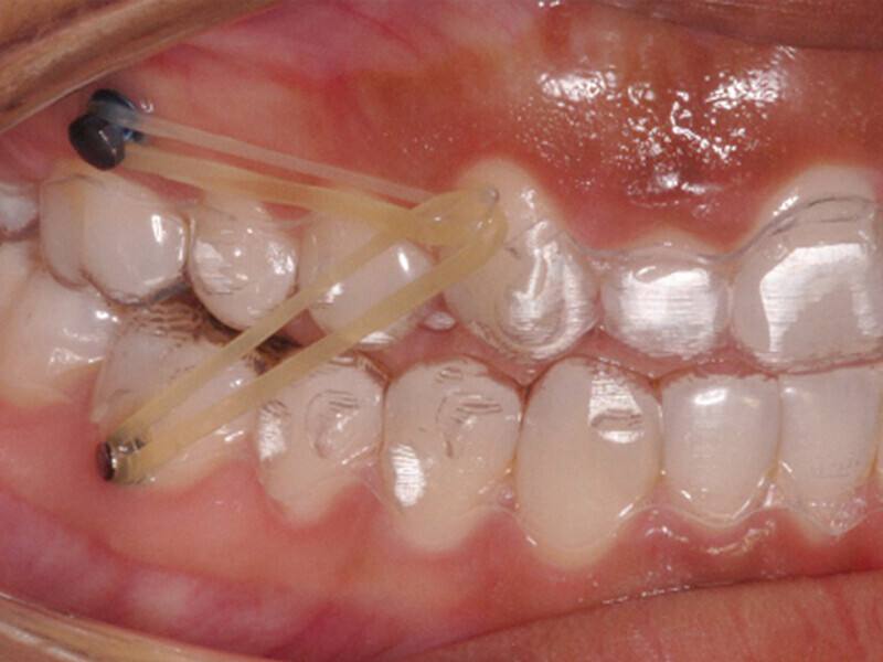
Kreativní doplňky ke zvýšení prediktability léčby fóliovými aparáty

advertisement