Search Dental Tribune

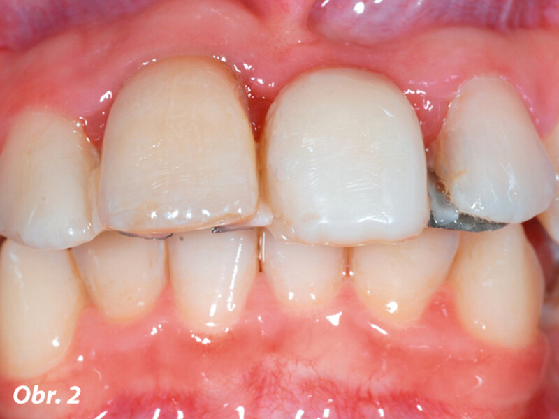
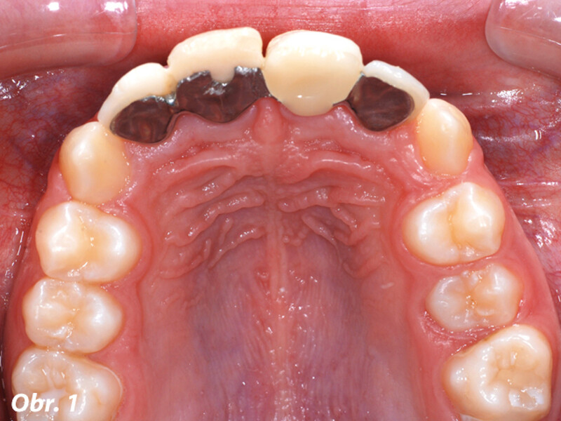
Estetická rehabilitace

advertisement