Search Dental Tribune

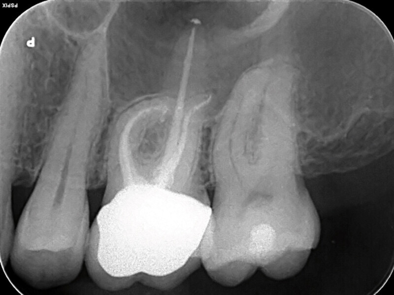
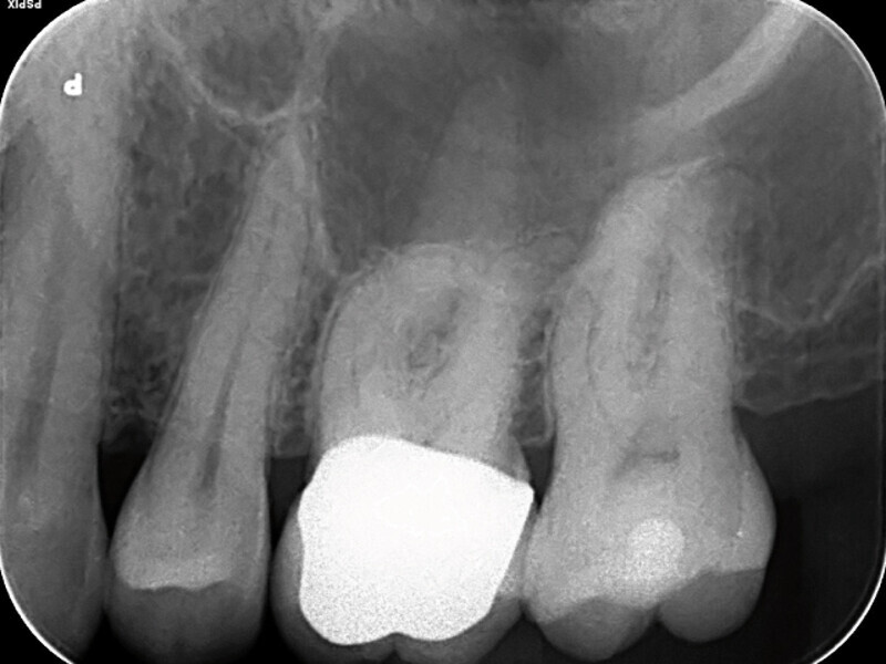
Endodontické ošetření – případová studie

advertisement