Search Dental Tribune

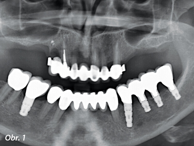
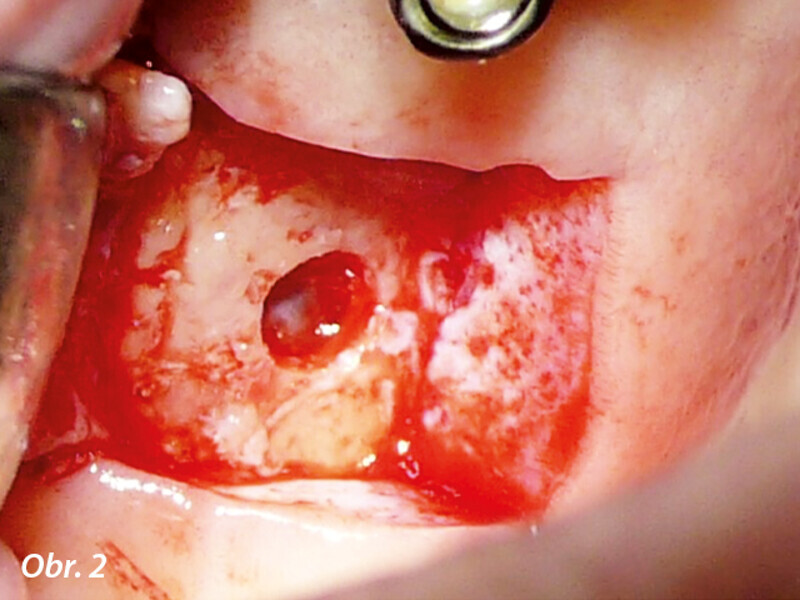
CBCT kostní denzitometrie pro rozhodování před chirurgickým zákrokem

advertisement
advertisement