Search Dental Tribune

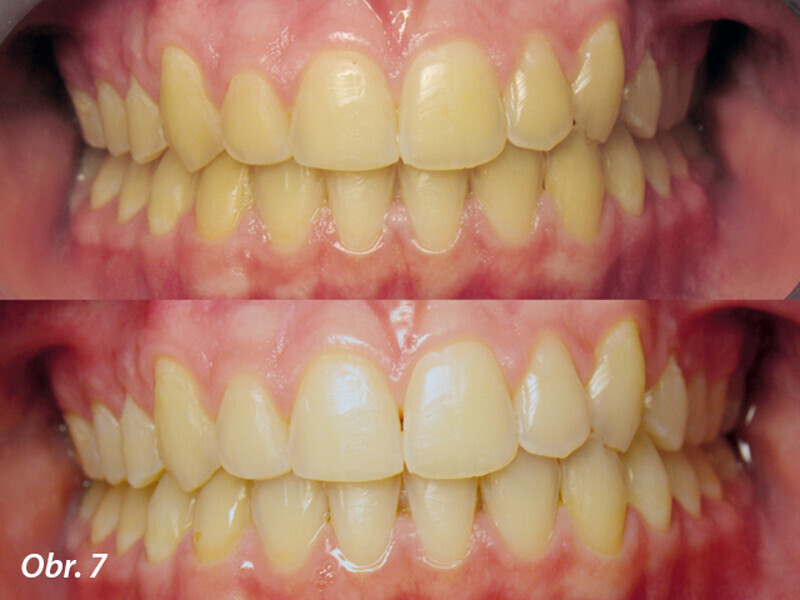
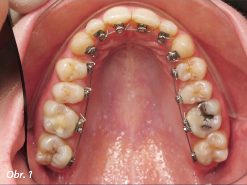
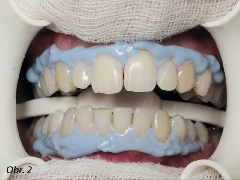
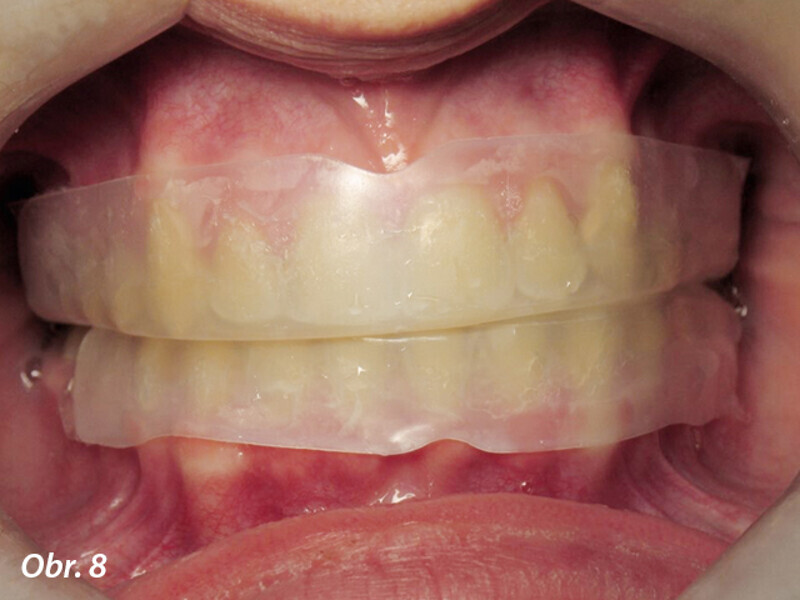
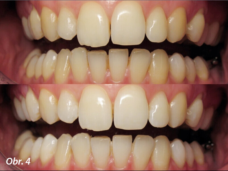
Bělení zubů a ortodoncie

advertisement