Search Dental Tribune

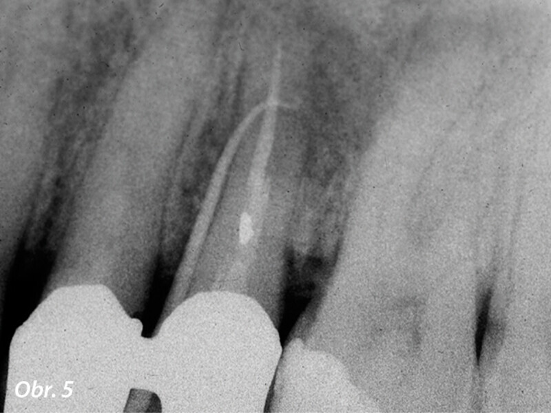
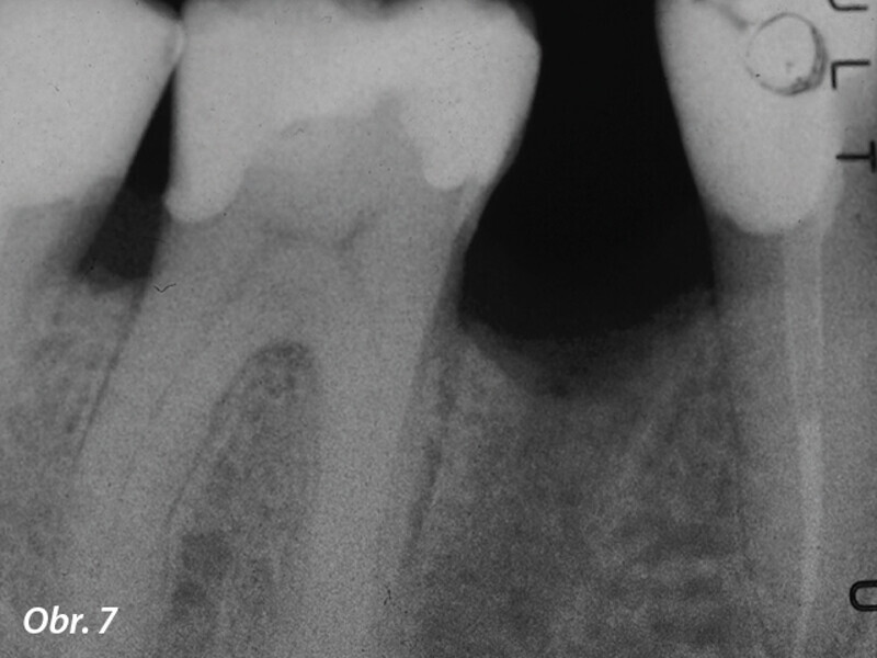
3D technologie v diagnostice a léčbě endodontických onemocnění

advertisement
advertisement